别名:Integrin beta-5, ITGB5应用:WB,IHC
反应种属:Human
规格:50μl/100μl
| Description |
|---|
| Integrin alpha-V/beta-5 is a receptor for fibronectin. It recognizes the sequence R-G-D in its ligand. |
| Specification | |
|---|---|
| Aliases | Integrin beta-5, ITGB5 |
| Entrez GeneID | 3693 |
| Swissprot | P18084 |
| WB Predicted band size | 88.1kDa |
| Host/Isotype | Rabbit IgG |
| Storage | Store at 4°C short term. Aliquot and store at -20°C long term. Avoid freeze/thaw cycles. |
| Species Reactivity | Human |
| Immunogen | This ITGB5 antibody is generated from rabbits immunized with a KLH conjugated synthetic peptide between 216-244 amino acids from the N-terminal region of human ITGB5. |
| Formulation | Purified polyclonal antibody supplied in PBS with 0.05% sodium azide. This antibody is purified through a protein A column, followed by peptide affinity purification. |
| Application | |
|---|---|
| WB | 1/1000 |
| IHC | 1/100-1/500 |
![]() |
ITGB5 Antibody (N-term) (Cat. #P31384) western blot analysis in NCI-H460 cell line lysates (35ug/lane).This demonstrates the ITGB5 antibody detected the ITGB5 protein (arrow). |
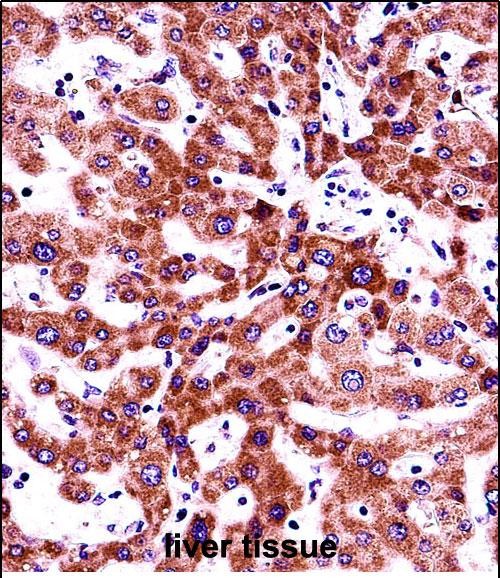
![]() |
ITGB5 Antibody (N-term) (Cat. #P31384)immunohistochemistry analysis in formalin fixed and paraffin embedded human liver tissue followed by peroxidase conjugation of the secondary antibody and DAB staining.This data demonstrates the use of ITGB5 Antibody (N-term) for immunohistochemistry. Clinical relevance has not been evaluated. |
本公司的所有产品仅用于科学研究或者工业应用等非医疗目的,不可用于人类或动物的临床诊断或治疗,非药用,非食用。
暂无评论
本公司的所有产品仅用于科学研究或者工业应用等非医疗目的,不可用于人类或动物的临床诊断或治疗,非药用,非食用。
中文


发表回复