别名:Inter-alpha-trypsin inhibitor heavy chain H2, ITI heavy chain H2, ITI-HC2, Inter-alpha-inhibitor heavy chain 2, Inter-alpha-trypsin inhibitor complex component II, Serum-derived hyaluronan-associated protein, SHAP, ITIH2, IGHEP2应用:WB,IHC,FCM
反应种属:Human
规格:50μl/100μl
| Description |
|---|
| ITIH2 may act as a carrier of hyaluronan in serum or as a binding protein between hyaluronan and other matrix protein, including those on cell surfaces in tissues to regulate the localization, synthesis and degradation of hyaluronan which are essential to cells undergoing biological processes. |
| Specification | |
|---|---|
| Aliases | Inter-alpha-trypsin inhibitor heavy chain H2, ITI heavy chain H2, ITI-HC2, Inter-alpha-inhibitor heavy chain 2, Inter-alpha-trypsin inhibitor complex component II, Serum-derived hyaluronan-associated protein, SHAP, ITIH2, IGHEP2 |
| Entrez GeneID | 3698 |
| Swissprot | P19823 |
| WB Predicted band size | 106.5kDa |
| Host/Isotype | Rabbit IgG |
| Storage | Store at 4°C short term. Aliquot and store at -20°C long term. Avoid freeze/thaw cycles. |
| Species Reactivity | Human |
| Immunogen | This ITIH2 antibody is generated from rabbits immunized with a KLH conjugated synthetic peptide between 858-886 amino acids from the C-terminal region of human ITIH2. |
| Formulation | Purified polyclonal antibody supplied in PBS with 0.05% sodium azide. This antibody is prepared by Saturated Ammonium Sulfate (SAS) precipitation followed by dialysis against PBS. |
| Application | |
|---|---|
| WB | 1/1000 |
| IHC | 1/100-1/500 |
| FCM | 1/10-1/50 |
![]() |
Western blot analysis of ITIH2 antibody (C-term) (Cat. #P30397) in HepG2 cell line lysates (35ug/lane). ITIH2 (arrow) was detected using the purified Pab. |
![]() |
ITIH2 Antibody (C-term) (Cat. #P30397) flow cytometric analysis of HepG2 cells (right histogram) compared to a negative control cell (left histogram).FITC-conjugated goat-anti-rabbit secondary antibodies were used for the analysis. |
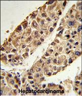
![]() |
Formalin-fixed and paraffin-embedded human hepatocarcinoma reacted with ITIH2 Antibody (C-term), which was peroxidase-conjugated to the secondary antibody, followed by DAB staining. This data demonstrates the use of this antibody for immunohistochemistry; clinical relevance has not been evaluated. |
本公司的所有产品仅用于科学研究或者工业应用等非医疗目的,不可用于人类或动物的临床诊断或治疗,非药用,非食用。
暂无评论
本公司的所有产品仅用于科学研究或者工业应用等非医疗目的,不可用于人类或动物的临床诊断或治疗,非药用,非食用。
中文



发表回复