别名:SWA; SWAP; SH3D1B; SH3P18; PRO2015应用:WB,IHC
反应种属:Human, Mouse
规格:50μl/100μl
| Description |
|---|
| This gene encodes a cytoplasmic protein which contains SH3 domains. This protein is a member of a family of proteins involved in clathrin-mediated endocytosis. Intersectin 2 is thought to regulate the formation of clathrin-coated vesicles and also may function in the induction of T cell antigen receptor (TCR) endocytosis. |
| Specification | |
|---|---|
| Aliases | SWA; SWAP; SH3D1B; SH3P18; PRO2015 |
| Swissprot | Q9NZM3 |
| WB Predicted band size | 193 kDa |
| Host/Isotype | Rabbit IgG |
| Storage | Store at 4°C short term. Aliquot and store at -20°C long term. Avoid freeze/thaw cycles. |
| Species Reactivity | Human, Mouse |
| Immunogen | Synthetic peptide of human ITSN2 |
| Formulation | pH7.4 PBS, 0.05% NaN3, 40% Glycerol |
| Application | |
|---|---|
| WB | 1/200-1/1000 |
| IHC | 1/25-1/100 |
| ELISA | 1/5000-1/10000 |
![]() |
Gel: 6%SDS-PAGE, Lysate: 40 μg, Lane: Hela cell lysate, Primary antibody: P13632(ITSN2 Antibody) at dilution 1/250, Secondary antibody: Goat anti rabbit IgG at 1/8000 dilution, Exposure time: 90 seconds |
![]() |
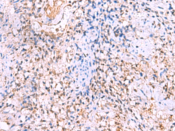
The image is immunohistochemistry of paraffin-embedded Human cervical cancer tissue using P13632(ITSN2 Antibody) at dilution 1/30. (Original magnification: ×200) |
本公司的所有产品仅用于科学研究或者工业应用等非医疗目的,不可用于人类或动物的临床诊断或治疗,非药用,非食用。
暂无评论
本公司的所有产品仅用于科学研究或者工业应用等非医疗目的,不可用于人类或动物的临床诊断或治疗,非药用,非食用。
中文


发表回复