别名:应用:IHC
反应种属:Human, Mouse, Rat
规格:50μl/100μl
| Description |
|---|
| Transcription factor which plays a key role in defining the composition of the RNA polymerase II (RNAPII) elongation complex and in modulating the production of mature mRNA transcripts. Acts as an assembly factor to recruit various factors to the RNAPII elongation complex and is recruited to the complex via binding to the transcription elongation factor SUPT6H bound to the C-terminal domain (CTD) of the RNAPII subunit RPB1 (POLR2A). The SUPT6H:IWS1:CTD complex recruits mRNA export factors (ALYREF/THOC4, EXOSC10) as well as histone modifying enzymes (such as SETD2) to ensure proper mRNA splicing, efficient mRNA export and elongation-coupled H3K36 methylation, a signature chromatin mark of active transcription. |
| Specification | |
|---|---|
| Swissprot | Q96ST2 |
| Host/Isotype | Rabbit IgG |
| Storage | Store at 4°C short term. Aliquot and store at -20°C long term. Avoid freeze/thaw cycles. |
| Species Reactivity | Human, Mouse, Rat |
| Immunogen | Synthetic peptide of human IWS1 |
| Formulation | pH7.4 PBS, 0.05% NaN3, 40% Glycerol |
| Application | |
|---|---|
| IHC | 1/25-1/100 |
| ELISA | 1/5000-1/10000 |
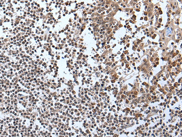
![]() |
The image is immunohistochemistry of paraffin-embedded Human esophagus cancer tissue using P12895(IWS1 Antibody) at dilution 1/30. (Original magnification: ×200) |
![]() |
The image is immunohistochemistry of paraffin-embedded Human tonsil tissue using P12895(IWS1 Antibody) at dilution 1/30. (Original magnification: ×200) |
本公司的所有产品仅用于科学研究或者工业应用等非医疗目的,不可用于人类或动物的临床诊断或治疗,非药用,非食用。
暂无评论
本公司的所有产品仅用于科学研究或者工业应用等非医疗目的,不可用于人类或动物的临床诊断或治疗,非药用,非食用。
中文


发表回复