别名:JUNO; FOLR4; Folbp3应用:IHC
反应种属:Human
规格:50μl/100μl
| Description |
|---|
| Receptor for IZUMO1 present at the cell surface of oocytes (oolemma), which is essential for species-specific gamete recognition and fertilization. The IZUMO1:IZUMO1R/JUNO interaction is a necessary adhesion event between sperm and egg that is required for fertilization but is not sufficient for cell fusion. The ligand-receptor interaction probably does not act as a membrane ‘fusogen’. Does not bind folate. |
| Specification | |
|---|---|
| Aliases | JUNO; FOLR4; Folbp3 |
| Swissprot | A6ND01 |
| Host/Isotype | Rabbit IgG |
| Storage | Store at 4°C short term. Aliquot and store at -20°C long term. Avoid freeze/thaw cycles. |
| Species Reactivity | Human |
| Immunogen | Synthetic peptide of human IZUMO1R |
| Formulation | pH7.4 PBS, 0.05% NaN3, 40% Glycerol |
| Application | |
|---|---|
| IHC | 1/25-1/100 |
| ELISA | 1/5000-1/10000 |
![]() |
The image is immunohistochemistry of paraffin-embedded Human tonsil tissue using P13423(IZUMO1R Antibody) at dilution 1/40. (Original magnification: ×200) |
![]() |
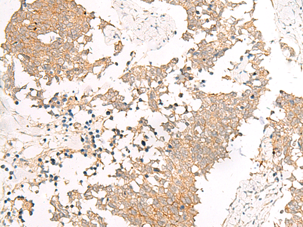
The image is immunohistochemistry of paraffin-embedded Human lung cancer tissue using P13423(IZUMO1R Antibody) at dilution 1/40. (Original magnification: ×200) |
本公司的所有产品仅用于科学研究或者工业应用等非医疗目的,不可用于人类或动物的临床诊断或治疗,非药用,非食用。
暂无评论
本公司的所有产品仅用于科学研究或者工业应用等非医疗目的,不可用于人类或动物的临床诊断或治疗,非药用,非食用。
中文


发表回复