别名:F11R; JAM1; JCAM; Junctional adhesion molecule A; JAM-A; Junctional adhesion molecule 1; JAM-1; Platelet F11 receptor; Platelet adhesion molecule 1; PAM-1; CD321应用:WB,IHC
反应种属:Human,Mouse,Rat
规格:50μl/100μl
| Description |
|---|
| Seems to plays a role in epithelial tight junction formation. Appears early in primordial forms of cell junctions and recruits PARD3. The association of the PARD6-PARD3 complex may prevent the interaction of PARD3 with JAM1, thereby preventing tight junction assembly (By similarity). Plays a role in regulating monocyte transmigration involved in integrity of epithelial barrier. Involved in platelet activation. In case of orthoreovirus infection, serves as receptor for the virus. |
| Specification | |
|---|---|
| Aliases | F11R; JAM1; JCAM; Junctional adhesion molecule A; JAM-A; Junctional adhesion molecule 1; JAM-1; Platelet F11 receptor; Platelet adhesion molecule 1; PAM-1; CD321 |
| Entrez GeneID | 50848 |
| Swissprot | Q9Y624 |
| WB Predicted band size | Calculated MW: 33 kDa; Observed MW: 33 kDa |
| Host/Isotype | Rabbit IgG |
| Storage | Store at 4°C short term. Aliquot and store at -20°C long term. Avoid freeze/thaw cycles. |
| Species Reactivity | Human,Mouse,Rat |
| Immunogen | A synthesized peptide derived from human JAM1 |
| Formulation | Rabbit IgG in phosphate buffered saline , pH 7.4, 150mM NaCl, 0.02% sodium azide and 50% glycerol. |
| Application | |
|---|---|
| WB | 1/500-1/1000 |
| IHC | 1/50-1/100 |
![]() |
Western blot analysis of JAM1 in HeLa lysates using Junctional Adhesion Molecule 1 antibody. |
![]() |
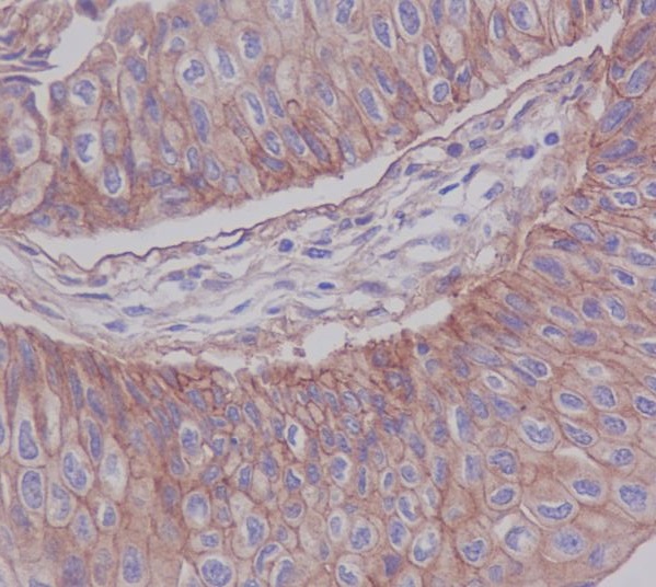
Immunohistochemistry analysis of paraffin-embedded Human blader cancer using JAM1 antibody.High-pressure and temperature Sodium Citrate pH 6.0 was used for antigen retrieval. |
本公司的所有产品仅用于科学研究或者工业应用等非医疗目的,不可用于人类或动物的临床诊断或治疗,非药用,非食用。
暂无评论
本公司的所有产品仅用于科学研究或者工业应用等非医疗目的,不可用于人类或动物的临床诊断或治疗,非药用,非食用。
中文


发表回复