别名:TREK; TPKC1; TREK1; K2p2.1; TREK-1; hTREK-1c; hTREK-1e应用:WB,IHC
反应种属:Human, Mouse, Rat
规格:50μl/100μl
| Description |
|---|
| This gene encodes one of the members of the two-pore-domain background potassium channel protein family. This type of potassium channel is formed by two homodimers that create a channel that leaks potassium out of the cell to control resting membrane potential. The channel can be opened, however, by certain anesthetics, membrane stretching, intracellular acidosis, and heat. Three transcript variants encoding different isoforms have been found for this gene. |
| Specification | |
|---|---|
| Aliases | TREK; TPKC1; TREK1; K2p2.1; TREK-1; hTREK-1c; hTREK-1e |
| Swissprot | O95069 |
| WB Predicted band size | 47 kDa |
| Host/Isotype | Rabbit IgG |
| Storage | Store at 4°C short term. Aliquot and store at -20°C long term. Avoid freeze/thaw cycles. |
| Species Reactivity | Human, Mouse, Rat |
| Immunogen | Synthetic peptide of human KCNK2 |
| Formulation | pH7.4 PBS, 0.05% NaN3, 40% Glycerol |
| Application | |
|---|---|
| WB | 1/200-1/1000 |
| IHC | 1/30-1/150 |
| ELISA | 1/5000-1/10000 |
![]() |
Gel: 8%SDS-PAGE, Lysate: 40 μg, Lane: Human cerebrum tissue lysate, Primary antibody: P13687(KCNK2 Antibody) at dilution 1/200, Secondary antibody: Goat anti rabbit IgG at 1/5000 dilution, Exposure time: 1 minute |
![]() |
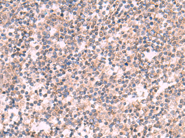
The image is immunohistochemistry of paraffin-embedded Human tonsil tissue using P13687(KCNK2 Antibody) at dilution 1/30. (Original magnification: ×200) |
本公司的所有产品仅用于科学研究或者工业应用等非医疗目的,不可用于人类或动物的临床诊断或治疗,非药用,非食用。
暂无评论
本公司的所有产品仅用于科学研究或者工业应用等非医疗目的,不可用于人类或动物的临床诊断或治疗,非药用,非食用。
中文


发表回复