别名:PDIP1; FKSG86; BACURD1; POLDIP1; hBACURD1应用:IHC
反应种属:Human, Mouse
规格:50μl/100μl
| Description |
|---|
| Substrate-specific adapter of a BCR (BTB-CUL3-RBX1) E3 ubiquitin-protein ligase complex involved in regulation of cytoskeleton structure. The BCR(BACURD1) E3 ubiquitin ligase complex mediates the ubiquitination of RHOA, leading to its degradation by the proteasome, thereby regulating the actin cytoskeleton and cell migration. |
| Specification | |
|---|---|
| Aliases | PDIP1; FKSG86; BACURD1; POLDIP1; hBACURD1 |
| Swissprot | Q8WZ19 |
| Host/Isotype | Rabbit IgG |
| Storage | Store at 4°C short term. Aliquot and store at -20°C long term. Avoid freeze/thaw cycles. |
| Species Reactivity | Human, Mouse |
| Immunogen | Fusion protein of human KCTD13 |
| Formulation | pH7.4 PBS, 0.05% NaN3, 40% Glycerol |
| Application | |
|---|---|
| IHC | 1/50-1/300 |
| ELISA | 1/5000-1/10000 |
![]() |
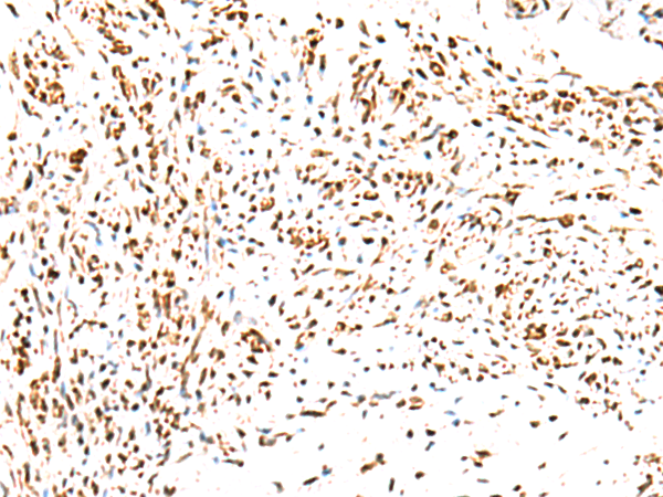
The image is immunohistochemistry of paraffin-embedded Human lung cancer tissue using P03095(KCTD13 Antibody) at dilution 1/50. (Original magnification: ×200) |
![]() |
The image is immunohistochemistry of paraffin-embedded Human cervical cancer tissue using P03095(KCTD13 Antibody) at dilution 1/50. (Original magnification: ×200) |
本公司的所有产品仅用于科学研究或者工业应用等非医疗目的,不可用于人类或动物的临床诊断或治疗,非药用,非食用。
暂无评论
本公司的所有产品仅用于科学研究或者工业应用等非医疗目的,不可用于人类或动物的临床诊断或治疗,非药用,非食用。
中文


发表回复