别名:FBL7; CXXC8; FBL11; FBXL11; JHDM1A; LILINA应用:IHC
反应种属:Human, Mouse
规格:50μl/100μl
| Description |
|---|
| This gene encodes a member of the F-box protein family which is characterized by an approximately 40 amino acid motif, the F-box. The F-box proteins constitute one of the four subunits of ubiquitin protein ligase complex called SCFs (SKP1-cullin-F-box), which function in phosphorylation-dependent ubiquitination. The F-box proteins are divided into 3 classes: Fbws containing WD-40 domains, Fbls containing leucine-rich repeats, and Fbxs containing either different protein-protein interaction modules or no recognizable motifs. The protein encoded by this gene belongs to the Fbls class and, in addition to an F-box, contains at least six highly degenerated leucine-rich repeats. This family member plays a role in epigenetic silencing. It nucleates at CpG islands and specifically demethylates both mono- and di-methylated lysine-36 of histone H3. Alternative splicing results in multiple transcript variants. |
| Specification | |
|---|---|
| Aliases | FBL7; CXXC8; FBL11; FBXL11; JHDM1A; LILINA |
| Swissprot | Q9Y2K7 |
| Host/Isotype | Rabbit IgG |
| Storage | Store at 4°C short term. Aliquot and store at -20°C long term. Avoid freeze/thaw cycles. |
| Species Reactivity | Human, Mouse |
| Immunogen | Synthetic peptide of human KDM2A |
| Formulation | pH7.4 PBS, 0.05% NaN3, 40% Glycerol |
| Application | |
|---|---|
| IHC | 1/50-1/300 |
| ELISA | 1/5000-1/10000 |
![]() |
The image is immunohistochemistry of paraffin-embedded Human lung cancer tissue using P06506(KDM2A Antibody) at dilution 1/55. (Original magnification: ×200) |
![]() |
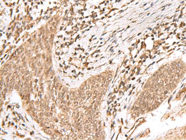
The image is immunohistochemistry of paraffin-embedded Human esophagus cancer tissue using P06506(KDM2A Antibody) at dilution 1/55. (Original magnification: ×200) |
本公司的所有产品仅用于科学研究或者工业应用等非医疗目的,不可用于人类或动物的临床诊断或治疗,非药用,非食用。
暂无评论
本公司的所有产品仅用于科学研究或者工业应用等非医疗目的,不可用于人类或动物的临床诊断或治疗,非药用,非食用。
中文


发表回复