别名:JBTS26应用:IHC
反应种属:Human, Mouse
规格:50μl/100μl
| Description |
|---|
| This gene encodes a novel, evolutionarily conserved, ciliary protein. In human hTERT-RPE1 cells, the protein is found at the base of cilia, decorating the ciliary axoneme, and enriched at the ciliary tip. The protein binds to microtubules in vitro and regulates their stability when it is overexpressed. A null mutation in this gene has been associated with Joubert syndrome, a recessive disorder that is characterized by a distinctive mid-hindbrain and cerebellar malformation and is also often associated with wider ciliopathy symptoms. Consistently, in a serum-starvation ciliogenesis assay, human fibroblast cells derived from patients with the mutation display a reduced number of ciliated cells with abnormally long cilia. |
| Specification | |
|---|---|
| Aliases | JBTS26 |
| Swissprot | O60303 |
| Host/Isotype | Rabbit IgG |
| Storage | Store at 4°C short term. Aliquot and store at -20°C long term. Avoid freeze/thaw cycles. |
| Species Reactivity | Human, Mouse |
| Immunogen | Synthetic peptide of human KIAA0556 |
| Formulation | pH7.4 PBS, 0.05% NaN3, 40% Glycerol |
| Application | |
|---|---|
| IHC | 1/100-1/200 |
| ELISA | 1/5000-1/10000 |
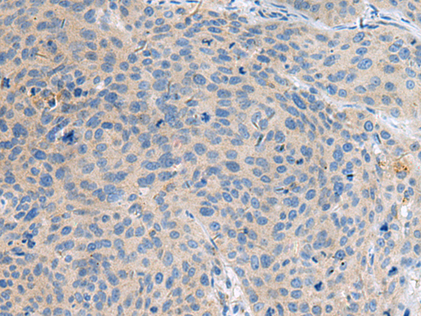
![]() |
The image is immunohistochemistry of paraffin-embedded Human liver cancer tissue using P13705(KIAA0556 Antibody) at dilution 1/90. (Original magnification: ×200) |
![]() |
The image is immunohistochemistry of paraffin-embedded Human cervical cancer tissue using P13705(KIAA0556 Antibody) at dilution 1/90. (Original magnification: ×200) |
本公司的所有产品仅用于科学研究或者工业应用等非医疗目的,不可用于人类或动物的临床诊断或治疗,非药用,非食用。
暂无评论
本公司的所有产品仅用于科学研究或者工业应用等非医疗目的,不可用于人类或动物的临床诊断或治疗,非药用,非食用。
中文


发表回复