别名:KAT8 regulatory NSL complex subunit 3, NSL complex protein NSL3, Non-specific lethal 3 homolog, Serum inhibited-related protein, Testis development protein PRTD, KANSL3, KIAA1310, NSL3, PRTD, SI1应用:WB,IHC
反应种属:Human
规格:50μl/100μl
| Specification | |
|---|---|
| Aliases | KAT8 regulatory NSL complex subunit 3, NSL complex protein NSL3, Non-specific lethal 3 homolog, Serum inhibited-related protein, Testis development protein PRTD, KANSL3, KIAA1310, NSL3, PRTD, SI1 |
| Entrez GeneID | 55683 |
| Swissprot | Q9P2N6 |
| WB Predicted band size | 96.0kDa |
| Host/Isotype | Rabbit IgG |
| Storage | Store at 4°C short term. Aliquot and store at -20°C long term. Avoid freeze/thaw cycles. |
| Species Reactivity | Human |
| Immunogen | This KIAA1310 antibody is generated from rabbits immunized with a KLH conjugated synthetic peptide between 398-427 amino acids from the Central region of human KIAA1310. |
| Formulation | Purified polyclonal antibody supplied in PBS with 0.05% sodium azide. This antibody is purified through a protein A column, followed by peptide affinity purification. |
| Application | |
|---|---|
| WB | 1/1000 |
| IHC | 1/100-1/500 |
![]() |
KIAA1310 Antibody (Center) (Cat. #P30839) western blot analysis in HepG2,MDA-MB453,293 cell line lysates (35ug/lane).This demonstrates the KIAA1310 antibody detected the KIAA1310 protein (arrow). |
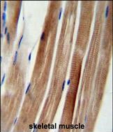
![]() |
KIAA1310 Antibody (Center) (Cat. #P30839) immunohistochemistry analysis in formalin fixed and paraffin embedded human skeletal muscle followed by peroxidase conjugation of the secondary antibody and DAB staining. This data demonstrates the use of the KIAA1310 Antibody (Center) for immunohistochemistry. Clinical relevance has not been evaluated. |
本公司的所有产品仅用于科学研究或者工业应用等非医疗目的,不可用于人类或动物的临床诊断或治疗,非药用,非食用。
暂无评论
本公司的所有产品仅用于科学研究或者工业应用等非医疗目的,不可用于人类或动物的临床诊断或治疗,非药用,非食用。
中文


发表回复