别名:FLA8; HH0048; KLP-11应用:IHC
反应种属:Human, Mouse
规格:50μl/100μl
| Description |
|---|
| The protein encoded by this gene acts as a heterodimer with kinesin family member 3A to aid in chromosome movement during mitosis and meiosis. The encoded protein is a plus end-directed microtubule motor and can interact with the SMC3 subunit of the cohesin complex. In addition, the encoded protein may be involved in the intracellular movement of membranous organelles. This protein and kinesin family member 3A form the kinesin II subfamily of the kinesin superfamily. |
| Specification | |
|---|---|
| Aliases | FLA8; HH0048; KLP-11 |
| Swissprot | O15066 |
| Host/Isotype | Rabbit IgG |
| Storage | Store at 4°C short term. Aliquot and store at -20°C long term. Avoid freeze/thaw cycles. |
| Species Reactivity | Human, Mouse |
| Immunogen | Synthetic peptide of human KIF3B |
| Formulation | pH7.4 PBS, 0.05% NaN3, 40% Glycerol |
| Application | |
|---|---|
| IHC | 1/25-1/100 |
| ELISA | 1/5000-1/10000 |
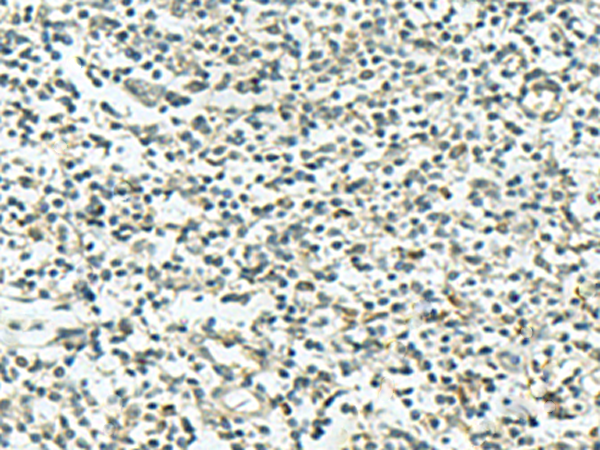
![]() |
The image is immunohistochemistry of paraffin-embedded Human liver cancer tissue using P06852(KIF3B Antibody) at dilution 1/40. (Original magnification: ×200) |
![]() |
The image is immunohistochemistry of paraffin-embedded Human tonsil tissue using P06852(KIF3B Antibody) at dilution 1/40. (Original magnification: ×200) |
本公司的所有产品仅用于科学研究或者工业应用等非医疗目的,不可用于人类或动物的临床诊断或治疗,非药用,非食用。
暂无评论
本公司的所有产品仅用于科学研究或者工业应用等非医疗目的,不可用于人类或动物的临床诊断或治疗,非药用,非食用。
中文


发表回复