别名:KIF4; KIF4G1应用:IHC
反应种属:Human, Mouse
规格:50μl/100μl
| Description |
|---|
| This gene encodes a member of the kinesin 4 subfamily of kinesin related proteins. The encoded protein is an ATP dependent microtubule-based motor protein that is involved in the intracellular transport of membranous organelles. This protein also associates with condensed chromosome arms and may be involved in maintaining chromosome integrity during mitosis. This protein may also be involved in the organization of the central spindle prior to cytokinesis. A pseudogene of this gene is found on chromosome X. |
| Specification | |
|---|---|
| Aliases | KIF4; KIF4G1 |
| Swissprot | O95239 |
| Host/Isotype | Rabbit IgG |
| Storage | Store at 4°C short term. Aliquot and store at -20°C long term. Avoid freeze/thaw cycles. |
| Species Reactivity | Human, Mouse |
| Immunogen | Synthetic peptide of human KIF4A |
| Formulation | pH7.4 PBS, 0.05% NaN3, 40% Glycerol |
| Application | |
|---|---|
| IHC | 1/50-1/200 |
| ELISA | 1/2000-1/10000 |
![]() |
The image is immunohistochemistry of paraffin-embedded Human liver cancer tissue using P05002(KIF4A Antibody) at dilution 1/40. (Original magnification: ×200) |
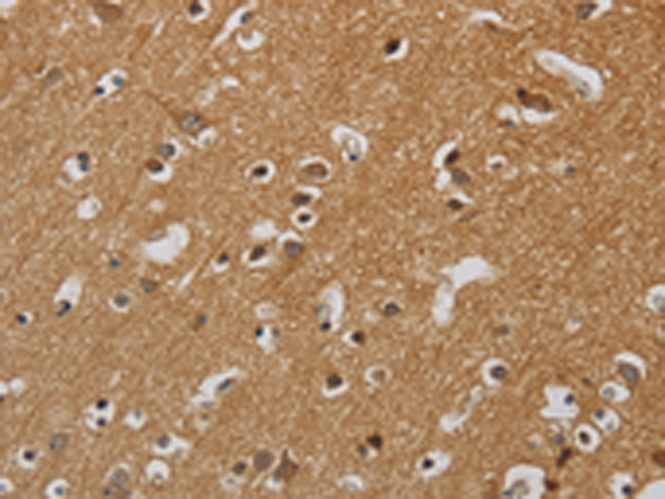
![]() |
The image is immunohistochemistry of paraffin-embedded Human brain tissue using P05002(KIF4A Antibody) at dilution 1/40. (Original magnification: ×200) |
本公司的所有产品仅用于科学研究或者工业应用等非医疗目的,不可用于人类或动物的临床诊断或治疗,非药用,非食用。
暂无评论
本公司的所有产品仅用于科学研究或者工业应用等非医疗目的,不可用于人类或动物的临床诊断或治疗,非药用,非食用。
中文


发表回复