别名:KINN; NKHC; NKHC2; CDCBM2; NKHC-2应用:IHC
反应种属:Human, Mouse
规格:50μl/100μl
| Description |
|---|
| The protein encoded by this gene is a kinesin heavy chain subunit involved in the transport of cargo within the central nervous system. The encoded protein, which acts as a tetramer by associating with another heavy chain and two light chains, interacts with protein kinase CK2. Mutations in this gene have been associated with complex cortical dysplasia with other brain malformations-2. Two transcript variants, one protein-coding and the other non-protein coding, have been found for this gene. |
| Specification | |
|---|---|
| Aliases | KINN; NKHC; NKHC2; CDCBM2; NKHC-2 |
| Swissprot | O60282 |
| Host/Isotype | Rabbit IgG |
| Storage | Store at 4°C short term. Aliquot and store at -20°C long term. Avoid freeze/thaw cycles. |
| Species Reactivity | Human, Mouse |
| Immunogen | Synthetic peptide of human KIF5C |
| Formulation | pH7.4 PBS, 0.05% NaN3, 40% Glycerol |
| Application | |
|---|---|
| IHC | 1/20-1/100 |
| ELISA | 1/5000-1/10000 |
![]() |
The image is immunohistochemistry of paraffin-embedded Human colorectal cancer tissue using P13738(KIF5C Antibody) at dilution 1/20. (Original magnification: ×200) |
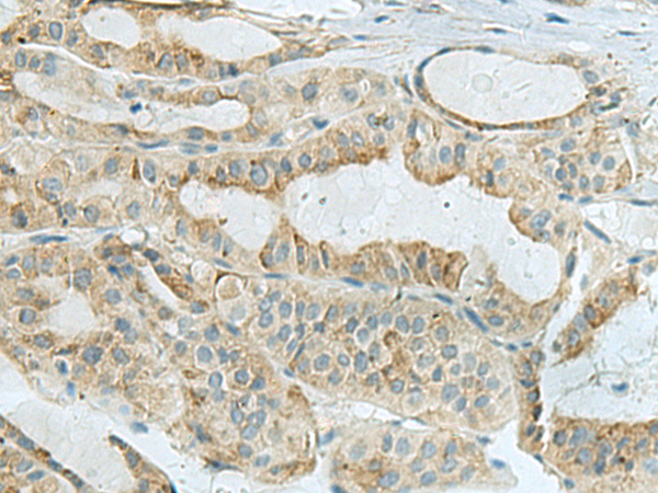
![]() |
The image is immunohistochemistry of paraffin-embedded Human thyroid cancer tissue using P13738(KIF5C Antibody) at dilution 1/20. (Original magnification: ×200) |
本公司的所有产品仅用于科学研究或者工业应用等非医疗目的,不可用于人类或动物的临床诊断或治疗,非药用,非食用。
暂无评论
本公司的所有产品仅用于科学研究或者工业应用等非医疗目的,不可用于人类或动物的临床诊断或治疗,非药用,非食用。
中文


发表回复