别名:Killer cell immunoglobulin-like receptor 2DL4, CD158 antigen-like family member D, G9P, Killer cell inhibitory receptor 103AS, KIR-103AS, MHC class I NK cell receptor KIR103AS, CD158d, KIR2DL4, CD158D, KIR103AS应用:WB,IHC,FCM
反应种属:Human
规格:50μl/100μl
| Description |
|---|
| KIR2DL4 is killer cell immunoglobulin-like receptors (KIRs) which are transmembrane glycoproteins expressed by natural killer cells and subsets of T cells. The KIR genes are polymorphic and highly homologous and they are found in a cluster on chromosome 19q13.4 within the 1 Mb leukocyte receptor complex (LRC). |
| Specification | |
|---|---|
| Aliases | Killer cell immunoglobulin-like receptor 2DL4, CD158 antigen-like family member D, G9P, Killer cell inhibitory receptor 103AS, KIR-103AS, MHC class I NK cell receptor KIR103AS, CD158d, KIR2DL4, CD158D, KIR103AS |
| Entrez GeneID | 3805 |
| Swissprot | Q99706 |
| WB Predicted band size | 41.5kDa |
| Host/Isotype | Rabbit IgG |
| Storage | Store at 4°C short term. Aliquot and store at -20°C long term. Avoid freeze/thaw cycles. |
| Species Reactivity | Human |
| Immunogen | This KIR2DL4 antibody is generated from rabbits immunized with a KLH conjugated synthetic peptide between 296-323 amino acids from the C-terminal region of human KIR2DL4. |
| Formulation | Purified polyclonal antibody supplied in PBS with 0.05% sodium azide. This antibody is purified through a protein A column, followed by peptide affinity purification. |
| Application | |
|---|---|
| WB | 1/1000 |
| IHC | 1/100-1/500 |
| FCM | 1/10-1/50 |
![]() |
Western blot analysis of KIR2DL4 Antibody (C-term) (Cat. #P30445) in MDA-MB231 cell line lysates (35ug/lane). KIR2DL4 (arrow) was detected using the purified Pab. |
![]() |
KIR2DL4 Antibody (C-term) (Cat.#P30445) flow cytometry analysis of MDA-MB231 cells (bottom histogram) compared to a negative control cell (top histogram). FITC-conjugated goat-anti-rabbit secondary antibodies were used for the analysis. |
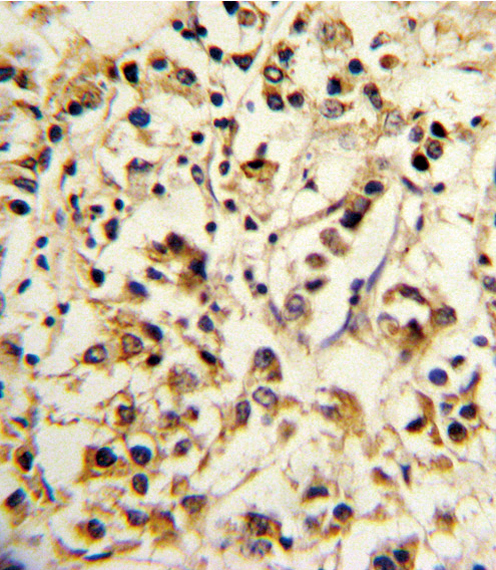
![]() |
Formalin-fixed and paraffin-embedded human breast carcinoma reacted with KIR2DL4 Antibody (C-term), which was peroxidase-conjugated to the secondary antibody, followed by DAB staining. This data demonstrates the use of this antibody for immunohistochemistry; clinical relevance has not been evaluated. |
本公司的所有产品仅用于科学研究或者工业应用等非医疗目的,不可用于人类或动物的临床诊断或治疗,非药用,非食用。
暂无评论
本公司的所有产品仅用于科学研究或者工业应用等非医疗目的,不可用于人类或动物的临床诊断或治疗,非药用,非食用。
中文



发表回复