别名:Killer cell immunoglobulin-like receptor 3DL3, CD158 antigen-like family member Z, Killer cell inhibitory receptor 1, CD158z, KIR3DL3, CD158Z, KIR3DL7, KIRC1应用:WB,IHC,FCM
反应种属:Human
规格:50μl/100μl
| Description |
|---|
| KIR3DL3 is transmembrane glycoproteins expressed by natural killer cells and subsets of T cells. This protein are polymorphic and highly homologous and they are found in a cluster on chromosome 19q13.4 within the 1 Mb leukocyte receptor complex (LRC). |
| Specification | |
|---|---|
| Aliases | Killer cell immunoglobulin-like receptor 3DL3, CD158 antigen-like family member Z, Killer cell inhibitory receptor 1, CD158z, KIR3DL3, CD158Z, KIR3DL7, KIRC1 |
| Swissprot | Q8N743 |
| WB Predicted band size | 44.9kDa |
| Host/Isotype | Rabbit IgG |
| Storage | Store at 4°C short term. Aliquot and store at -20°C long term. Avoid freeze/thaw cycles. |
| Species Reactivity | Human |
| Immunogen | This KIR3DL3 antibody is generated from rabbits immunized with a KLH conjugated synthetic peptide between 132-158 amino acids from the Central region of human KIR3DL3. |
| Formulation | Purified polyclonal antibody supplied in PBS with 0.05% sodium azide. This antibody is purified through a protein A column, followed by peptide affinity purification. |
| Application | |
|---|---|
| WB | 1/1000 |
| IHC | 1/100-1/500 |
| FCM | 1/10-1/50 |
![]() |
Western blot analysis of KIR3DL3 Antibody (Center) (Cat. #P30465) in K562 cell line lysates (35ug/lane). KIR3DL3 (arrow) was detected using the purified Pab. |
![]() |
KIR3DL3 Antibody (Center) (Cat. #P30465) flow cytometry analysis of K562 cells (bottom histogram) compared to a negative control cell (top histogram).FITC-conjugated goat-anti-rabbit secondary antibodies were used for the analysis. |
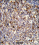
![]() |
Formalin-fixed and paraffin-embedded human tonsil reacted with KIR3DL3 Antibody (Center), which was peroxidase-conjugated to the secondary antibody, followed by DAB staining. This data demonstrates the use of this antibody for immunohistochemistry; clinical relevance has not been evaluated. |
本公司的所有产品仅用于科学研究或者工业应用等非医疗目的,不可用于人类或动物的临床诊断或治疗,非药用,非食用。
暂无评论
本公司的所有产品仅用于科学研究或者工业应用等非医疗目的,不可用于人类或动物的临床诊断或治疗,非药用,非食用。
中文



发表回复