别名:HH8; CPPB1; GPR54; AXOR12; KISS-1R; HOT7T175应用:IHC
反应种属:Human
规格:50μl/100μl
| Description |
|---|
| The protein encoded by this gene is a galanin-like G protein-coupled receptor that binds metastin, a peptide encoded by the metastasis suppressor gene KISS1. The tissue distribution of the expressed gene suggests that it is involved in the regulation of endocrine function, and this is supported by the finding that this gene appears to play a role in the onset of puberty. Mutations in this gene have been associated with hypogonadotropic hypogonadism and central precocious puberty. |
| Specification | |
|---|---|
| Aliases | HH8; CPPB1; GPR54; AXOR12; KISS-1R; HOT7T175 |
| Swissprot | Q969F8 |
| Host/Isotype | Rabbit IgG |
| Storage | Store at 4°C short term. Aliquot and store at -20°C long term. Avoid freeze/thaw cycles. |
| Species Reactivity | Human |
| Immunogen | Synthetic peptide of human KISS1R |
| Formulation | pH7.4 PBS, 0.05% NaN3, 40% Glycerol |
| Application | |
|---|---|
| IHC | 1/50-1/200 |
| ELISA | 1/2000-1/5000 |
![]() |
The image is immunohistochemistry of paraffin-embedded Human ovarian cancer tissue using P11885(KISS1R Antibody) at dilution 1/25. (Original magnification: ×200) |
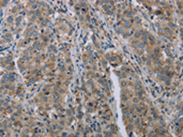
![]() |
The image is immunohistochemistry of paraffin-embedded Human liver cancer tissue using P11885(KISS1R Antibody) at dilution 1/25. (Original magnification: ×200) |
本公司的所有产品仅用于科学研究或者工业应用等非医疗目的,不可用于人类或动物的临床诊断或治疗,非药用,非食用。
暂无评论
本公司的所有产品仅用于科学研究或者工业应用等非医疗目的,不可用于人类或动物的临床诊断或治疗,非药用,非食用。
中文


发表回复