别名:Kinesin light chain 2, KLC 2, KLC2应用:WB,IHC,FCM
反应种属:Human
规格:50μl/100μl
| Description |
|---|
| Kinesin is a molecular motor that generates ATP-dependent movement of vesicles and organelles along microtubules. Kinesin consists of 2 light chains, such as KLC2, and 2 heavy chains (see KIF5B; MIM 602809) in a 1:1 stoichiometric ratio (Rahman et al., 1998 [PubMed 9624122]). |
| Specification | |
|---|---|
| Aliases | Kinesin light chain 2, KLC 2, KLC2 |
| Entrez GeneID | 64837 |
| Swissprot | Q9H0B6 |
| WB Predicted band size | 68.9kDa |
| Host/Isotype | Rabbit IgG |
| Storage | Store at 4°C short term. Aliquot and store at -20°C long term. Avoid freeze/thaw cycles. |
| Species Reactivity | Human |
| Immunogen | This KLC2 antibody is generated from rabbits immunized with a KLH conjugated synthetic peptide between 128-156 amino acids from the N-terminal region of human KLC2. |
| Formulation | Purified polyclonal antibody supplied in PBS with 0.05% sodium azide. This antibody is purified through a protein A column, followed by peptide affinity purification. |
| Application | |
|---|---|
| WB | 1/1000 |
| IHC | 1/100-1/500 |
| FCM | 1/10-1/50 |
![]() |
Western blot analysis of lysate from MCF-7 cell line, using KLC2 Antibody (N-term)(Cat. #P31057). P31057 was diluted at 1:1000 at each lane. A goat anti-rabbit IgG H&L(HRP) at 1:5000 dilution was used as the secondary antibody. Lysate at 35ug per lane. |
![]() |
KLC2 Antibody (N-term) (Cat. #P31057) flow cytometric analysis of Neuro-2a cells (right histogram) compared to a negative control cell (left histogram).FITC-conjugated donkey-anti-rabbit secondary antibodies were used for the analysis. |
![]() |
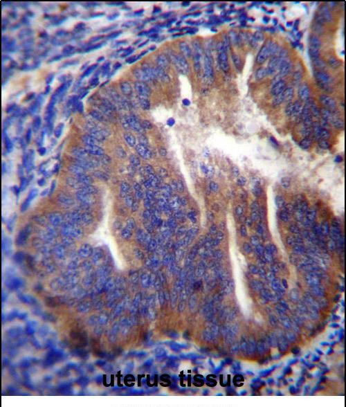
KLC2 Antibody (N-term) (Cat. #P31057)immunohistochemistry analysis in formalin fixed and paraffin embedded human uterus tissue followed by peroxidase conjugation of the secondary antibody and DAB staining.This data demonstrates the use of KLC2 Antibody (N-term) for immunohistochemistry. Clinical relevance has not been evaluated. |
本公司的所有产品仅用于科学研究或者工业应用等非医疗目的,不可用于人类或动物的临床诊断或治疗,非药用,非食用。
暂无评论
本公司的所有产品仅用于科学研究或者工业应用等非医疗目的,不可用于人类或动物的临床诊断或治疗,非药用,非食用。
中文



发表回复