别名:LKLF应用:IHC
反应种属:Human
规格:50μl/100μl
| Description |
|---|
| Kruppel-like factors (KLFs) are a family of broadly expressed zinc finger transcription factors. KLF2 regulates T-cell trafficking by promoting expression of the lipid-binding receptor S1P1 (S1PR1; MIM 601974) and the selectin CD62L (SELL; MIM 153240) (summary by Weinreich et al., 2009 [PubMed 19592277]). |
| Specification | |
|---|---|
| Aliases | LKLF |
| Swissprot | Q9Y5W3 |
| Host/Isotype | Rabbit IgG |
| Storage | Store at 4°C short term. Aliquot and store at -20°C long term. Avoid freeze/thaw cycles. |
| Species Reactivity | Human |
| Immunogen | Synthetic peptide of human KLF2 |
| Formulation | pH7.4 PBS, 0.05% NaN3, 40% Glycerol |
| Application | |
|---|---|
| IHC | 1/10-1/50 |
| ELISA | 1/5000-1/10000 |
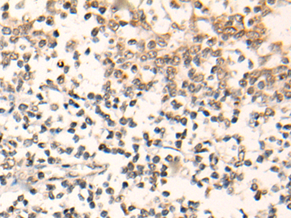
![]() |
The image is immunohistochemistry of paraffin-embedded Human ovarian cancer tissue using P11886(KLF2 Antibody) at dilution 1/25. (Original magnification: ×200) |
![]() |
The image is immunohistochemistry of paraffin-embedded Human tonsil tissue using P11886(KLF2 Antibody) at dilution 1/25. (Original magnification: ×200) |
本公司的所有产品仅用于科学研究或者工业应用等非医疗目的,不可用于人类或动物的临床诊断或治疗,非药用,非食用。
暂无评论
本公司的所有产品仅用于科学研究或者工业应用等非医疗目的,不可用于人类或动物的临床诊断或治疗,非药用,非食用。
中文


发表回复