别名:CKLF; IKLF; BTEB2应用:WB,IHC
反应种属:Human, Mouse
规格:50μl/100μl
| Description |
|---|
| This gene encodes a member of the Kruppel-like factor subfamily of zinc finger proteins. The encoded protein is a transcriptional activator that binds directly to a specific recognition motif in the promoters of target genes. This protein acts downstream of multiple different signaling pathways and is regulated by post-translational modification. It may participate in both promoting and suppressing cell proliferation. Expression of this gene may be changed in a variety of different cancers and in cardiovascular disease. Alternative splicing results in multiple transcript variants. |
| Specification | |
|---|---|
| Aliases | CKLF; IKLF; BTEB2 |
| Swissprot | Q13887 |
| WB Predicted band size | 51 kDa |
| Host/Isotype | Rabbit IgG |
| Storage | Store at 4°C short term. Aliquot and store at -20°C long term. Avoid freeze/thaw cycles. |
| Species Reactivity | Human, Mouse |
| Immunogen | Synthetic peptide of human KLF5 |
| Formulation | pH7.4 PBS, 0.05% NaN3, 40% Glycerol |
| Application | |
|---|---|
| WB | 1/500-1/2000 |
| IHC | 1/100-1/300 |
| ELISA | 1/1000-1/5000 |
![]() |
Gel: 10+12+15%SDS-PAGE, Lysate: 40 μg, Lane 1-2: Jurkat cells, human ovarian cancer tissue, Primary antibody: P04059(KLF5 Antibody) at dilution 1/1700, Secondary antibody: Goat anti rabbit IgG at 1/8000 dilution, Exposure time: 20 seconds |
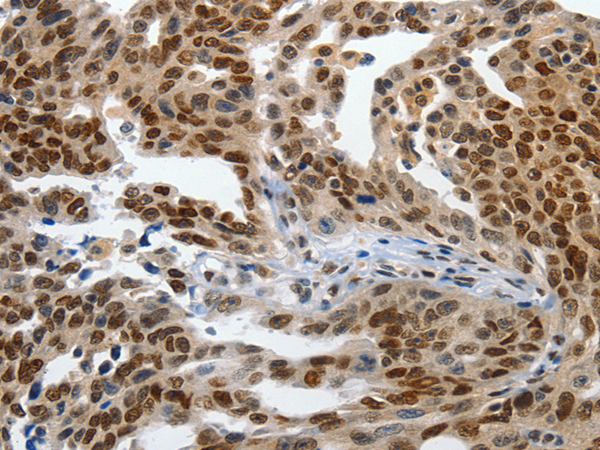
![]() |
The image is immunohistochemistry of paraffin-embedded Human ovarian cancer tissue using P04059(KLF5 Antibody) at dilution 1/120. (Original magnification: ×200) |
![]() |
The image is immunohistochemistry of paraffin-embedded Human colon cancer tissue using P04059(KLF5 Antibody) at dilution 1/120. (Original magnification: ×200) |
本公司的所有产品仅用于科学研究或者工业应用等非医疗目的,不可用于人类或动物的临床诊断或治疗,非药用,非食用。
暂无评论
本公司的所有产品仅用于科学研究或者工业应用等非医疗目的,不可用于人类或动物的临床诊断或治疗,非药用,非食用。
中文



发表回复