别名:ACO; HSRNASPH应用:IHC
反应种属:Human
规格:50μl/100μl
| Description |
|---|
| Kallikreins are a subgroup of serine proteases having diverse physiological functions. Growing evidence suggests that many kallikreins are implicated in carcinogenesis and some have potential as novel cancer and other disease biomarkers. This gene is one of the fifteen kallikrein subfamily members located in a cluster on chromosome 19. In prostate cancer, this gene has increased expression, which indicates its possible use as a diagnostic or prognostic marker for prostate cancer. The gene contains multiple polyadenylation sites and alternative splicing results in multiple transcript variants encoding distinct isoforms. |
| Specification | |
|---|---|
| Aliases | ACO; HSRNASPH |
| Swissprot | Q9H2R5 |
| Host/Isotype | Rabbit IgG |
| Storage | Store at 4°C short term. Aliquot and store at -20°C long term. Avoid freeze/thaw cycles. |
| Species Reactivity | Human |
| Immunogen | Synthetic peptide of human KLK15 |
| Formulation | pH7.4 PBS, 0.05% NaN3, 40% Glycerol |
| Application | |
|---|---|
| IHC | 1/50-1/100 |
| ELISA | 1/5000-1/10000 |
![]() |
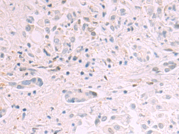
The image is immunohistochemistry of paraffin-embedded Human esophagus cancer tissue using P06920(KLK15 Antibody) at dilution 1/50. (Original magnification: ×200) |
![]() |
The image is immunohistochemistry of paraffin-embedded Human liver cancer tissue using P06920(KLK15 Antibody) at dilution 1/50. (Original magnification: ×200) |
本公司的所有产品仅用于科学研究或者工业应用等非医疗目的,不可用于人类或动物的临床诊断或治疗,非药用,非食用。
暂无评论
本公司的所有产品仅用于科学研究或者工业应用等非医疗目的,不可用于人类或动物的临床诊断或治疗,非药用,非食用。
中文


发表回复