别名:KLR; CD314; NKG2D; NKG2-D; D12S2489E应用:IHC
反应种属:Human, Mouse, Rat
规格:50μl/100μl
| Description |
|---|
| Natural killer (NK) cells are lymphocytes that can mediate lysis of certain tumor cells and virus-infected cells without previous activation. They can also regulate specific humoral and cell-mediated immunity. NK cells preferentially express several calcium-dependent (C-type) lectins, which have been implicated in the regulation of NK cell function. The NKG2 gene family is located within the NK complex, a region that contains several C-type lectin genes preferentially expressed in NK cells. This gene encodes a member of the NKG2 family. The encoded transmembrane protein is characterized by a type II membrane orientation (has an extracellular C terminus) and the presence of a C-type lectin domain. It binds to a diverse family of ligands that include MHC class I chain-related A and B proteins and UL-16 binding proteins, where ligand-receptor interactions can result in the activation of NK and T cells. The surface expression of these ligands is important for the recognition of stressed cells by the immune system, and thus this protein and its ligands are therapeutic targets for the treatment of immune diseases and cancers. Read-through transcription exists between this gene and the upstream KLRC4 (killer cell lectin-like receptor subfamily C, member 4) family member in the same cluster. |
| Specification | |
|---|---|
| Aliases | KLR; CD314; NKG2D; NKG2-D; D12S2489E |
| Swissprot | P26718 |
| Host/Isotype | Rabbit IgG |
| Storage | Store at 4°C short term. Aliquot and store at -20°C long term. Avoid freeze/thaw cycles. |
| Species Reactivity | Human, Mouse, Rat |
| Immunogen | Synthetic peptide of human KLRK1 |
| Formulation | pH7.4 PBS, 0.05% NaN3, 40% Glycerol |
| Application | |
|---|---|
| IHC | 1/10-1/50 |
| ELISA | 1/5000-1/10000 |
![]() |
The image is immunohistochemistry of paraffin-embedded Human tonsil tissue using P12801(KLRK1 Antibody) at dilution 1/25. (Original magnification: ×200) |
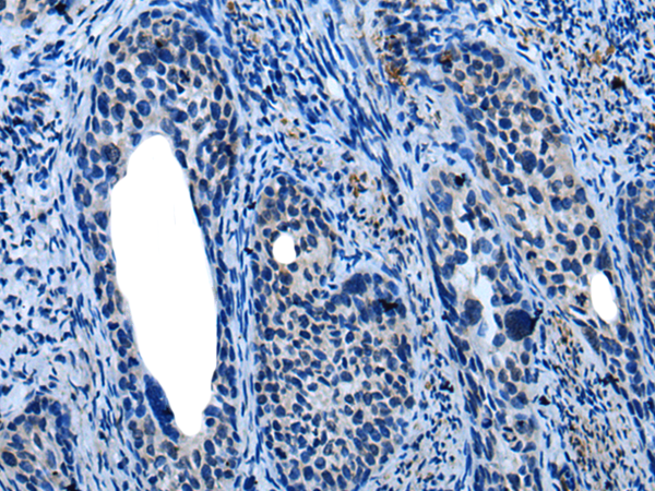
![]() |
The image is immunohistochemistry of paraffin-embedded Human cervical cancer tissue using P12801(KLRK1 Antibody) at dilution 1/25. (Original magnification: ×200) |
本公司的所有产品仅用于科学研究或者工业应用等非医疗目的,不可用于人类或动物的临床诊断或治疗,非药用,非食用。
暂无评论
本公司的所有产品仅用于科学研究或者工业应用等非医疗目的,不可用于人类或动物的临床诊断或治疗,非药用,非食用。
中文


发表回复