别名:WVS; ENX1; KMT6; WVS2; ENX-1; EZH2b; KMT6A; EZH2应用:WB,IHC,ICC,FCM
反应种属:Human,Mouse,Rat
规格:50μl/100μl
| Description |
|---|
| Polycomb group (PcG) protein. Catalytic subunit of the PRC2/EED-EZH2 complex, which methylates ‘Lys-9’ and ‘Lys-27’ of histone H3, leading to transcriptional repression of the affected target gene. Able to mono-, di- and trimethylate ‘Lys-27’ of histone H3 to form H3K27me1, H3K27me2 and H3K27me3, respectively. Compared to EZH2-containing complexes, it is more abundant in embryonic stem cells and plays a major role in forming H3K27me3, which is required for embryonic stem cell identity and proper differentiation. |
| Specification | |
|---|---|
| Aliases | WVS; ENX1; KMT6; WVS2; ENX-1; EZH2b; KMT6A; EZH2 |
| Entrez GeneID | 2146 |
| Swissprot | Q15910 |
| WB Predicted band size | Calculated MW: 85 kDa; Observed MW: 98 kDa |
| Host/Isotype | Rabbit IgG |
| Storage | Store at 4°C short term. Aliquot and store at -20°C long term. Avoid freeze/thaw cycles. |
| Species Reactivity | Human,Mouse,Rat |
| Immunogen | A synthesized peptide derived from human KMT6 / EZH2 |
| Formulation | Rabbit IgG in phosphate buffered saline , pH 7.4, 150mM NaCl, 0.02% sodium azide and 50% glycerol. |
| Application | |
|---|---|
| WB | 1/500-1/1000 |
| IHC | 1/50-1/100 |
| ICC | 1/50-1/200 |
| FCM | 1/50-1/100 |
![]() |
Western blot analysis of KMT6 / EZH2 in HEK293 lysates using KMT6 antibody. |
![]() |
Immunofluorescence analysis of KMT6 in Hela using KMT6 / EZH2 antibody. |
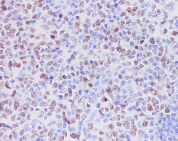
![]() |
Immunohistochemistry analysis of paraffin-embedded Human tonsil using KMT6 / EZH2 antibody.High-pressure and temperature Sodium Citrate pH 6.0 was used for antigen retrieval. |
本公司的所有产品仅用于科学研究或者工业应用等非医疗目的,不可用于人类或动物的临床诊断或治疗,非药用,非食用。
暂无评论
本公司的所有产品仅用于科学研究或者工业应用等非医疗目的,不可用于人类或动物的临床诊断或治疗,非药用,非食用。
中文



发表回复