别名:D40; CT29; Spc7; CASC5; MCPH4; hKNL-1; AF15Q14; PPP1R55; hSpc105应用:IHC
反应种属:Human
规格:50μl/100μl
| Description |
|---|
| The protein encoded by this gene is a component of the multiprotein assembly that is required for creation of kinetochore-microtubule attachments and chromosome segregation. The encoded protein functions as a scaffold for proteins that influence the spindle assembly checkpoint during the eukaryotic cell cycle and it interacts with at least five different kinetochore proteins and two checkpoint kinases. In adults, this gene is predominantly expressed in normal testes, various cancer cell lines and primary tumors from other tissues and is ubiquitously expressed in fetal tissues. This gene was originally identified as a fusion partner with the mixed-lineage leukemia (MLL) gene in t(11;15)(q23;q14). Mutations in this gene cause autosomal recessive primary microcephaly-4 (MCPH4). Alternative splicing results in multiple transcript variants encoding different isoforms. Additional splice variants have been described but their biological validity has not been confirmed. [provided by RefSeq, Jan 2013] |
| Specification | |
|---|---|
| Aliases | D40; CT29; Spc7; CASC5; MCPH4; hKNL-1; AF15Q14; PPP1R55; hSpc105 |
| Swissprot | Q8NG31 |
| Host/Isotype | Rabbit IgG |
| Storage | Store at 4°C short term. Aliquot and store at -20°C long term. Avoid freeze/thaw cycles. |
| Species Reactivity | Human |
| Immunogen | Synthetic peptide of human KNL1 |
| Formulation | pH7.4 PBS, 0.05% NaN3, 40% Glycerol |
| Application | |
|---|---|
| IHC | 1/25-1/100 |
| ELISA | 1/2000-1/5000 |
![]() |
The image is immunohistochemistry of paraffin-embedded Human lung cancer tissue using P12702(KNL1 Antibody) at dilution 1/20. (Original magnification: ×200) |
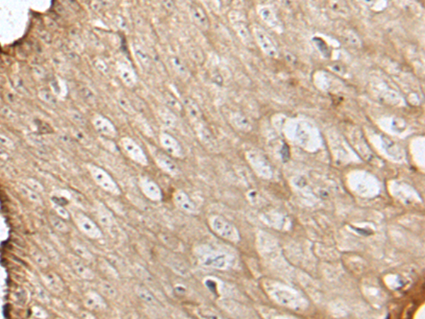
![]() |
The image is immunohistochemistry of paraffin-embedded Human esophagus cancer tissue using P12702(KNL1 Antibody) at dilution 1/20. (Original magnification: ×200) |
本公司的所有产品仅用于科学研究或者工业应用等非医疗目的,不可用于人类或动物的临床诊断或治疗,非药用,非食用。
暂无评论
本公司的所有产品仅用于科学研究或者工业应用等非医疗目的,不可用于人类或动物的临床诊断或治疗,非药用,非食用。
中文


发表回复