别名:Keratin, type II cytoskeletal 4, Cytokeratin-4, CK-4, Keratin-4, K4, Type-II keratin Kb4, KRT4, CYK4应用:WB,IHC,FCM
反应种属:Human, Mouse
规格:50μl/100μl
| Description |
|---|
| The protein is a member of the keratin family. The type II cytokeratins consist of basic or neutral proteins which are arranged in pairs of heterotypic keratin chains coexpressed during differentiation of simple and stratified epithelial tissues. This type II cytokeratin is specifically expressed in differentiated layers of the mucosal and esophageal epithelia with family member KRT13. |
| Specification | |
|---|---|
| Aliases | Keratin, type II cytoskeletal 4, Cytokeratin-4, CK-4, Keratin-4, K4, Type-II keratin Kb4, KRT4, CYK4 |
| Entrez GeneID | 3851 |
| Swissprot | P19013 |
| WB Predicted band size | 56.1kDa |
| Host/Isotype | Rabbit IgG |
| Storage | Store at 4°C short term. Aliquot and store at -20°C long term. Avoid freeze/thaw cycles. |
| Species Reactivity | Human, Mouse |
| Immunogen | This KRT4 antibody is generated from rabbits immunized with a KLH conjugated synthetic peptide between 386-415 amino acids from the C-terminal region of human KRT4. |
| Formulation | Purified polyclonal antibody supplied in PBS with 0.05% sodium azide. This antibody is prepared by Saturated Ammonium Sulfate (SAS) precipitation followed by dialysis against PBS. |
| Application | |
|---|---|
| WB | 1/1000 |
| IHC | 1/100-1/500 |
| FCM | 1/10-1/50 |
![]() |
Western blot analysis of KRT4 antibody (C-term) (Cat. #P30399) in mouse spleen tissue lysates (35ug/lane). KRT4 (arrow) was detected using the purified Pab. |
![]() |
Flow cytometric analysis of MDA-231 cells using KRT4 Antibody (C-term)(bottom histogram) compared to a negative control cell (top histogram). FITC-conjugated goat-anti-rabbit secondary antibodies were used for the analysis. |
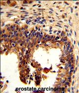
![]() |
Formalin-fixed and paraffin-embedded human prostate carcinoma reacted with KRT4 Antibody (C-term), which was peroxidase-conjugated to the secondary antibody, followed by DAB staining. This data demonstrates the use of this antibody for immunohistochemistry; clinical relevance has not been evaluated. |
本公司的所有产品仅用于科学研究或者工业应用等非医疗目的,不可用于人类或动物的临床诊断或治疗,非药用,非食用。
暂无评论
本公司的所有产品仅用于科学研究或者工业应用等非医疗目的,不可用于人类或动物的临床诊断或治疗,非药用,非食用。
中文



发表回复