别名:Keratinocyte-associated protein 2, KCP-2, KRTCAP2, KCP2应用:WB,IHC
反应种属:Human, Mouse
规格:50μl/100μl
| Description |
|---|
| E3 ubiquitin-protein ligase which accepts ubiquitin from E2 ubiquitin-conjugating enzymes UBE2L3 and UBE2L6 in the form of a thioester and then directly transfers the ubiquitin to targeted substrates, such as UCKL1. Involved in the cytolytic activity of natural killer cells and cytotoxic T-cells. |
| Specification | |
|---|---|
| Aliases | Keratinocyte-associated protein 2, KCP-2, KRTCAP2, KCP2 |
| Entrez GeneID | 200185 |
| Swissprot | Q8N6L1 |
| WB Predicted band size | 14.7kDa |
| Host/Isotype | Rabbit IgG |
| Storage | Store at 4°C short term. Aliquot and store at -20°C long term. Avoid freeze/thaw cycles. |
| Species Reactivity | Human, Mouse |
| Immunogen | This KTAP2 antibody is generated from rabbits immunized with a KLH conjugated synthetic peptide between 134-162 amino acids from the C-terminal region of human KTAP2. |
| Formulation | Purified polyclonal antibody supplied in PBS with 0.05% sodium azide. This antibody is purified through a protein A column, followed by peptide affinity purification. |
| Application | |
|---|---|
| WB | 1/1000 |
| IHC | 1/100-1/500 |
![]() |
KTAP2 Antibody (C-term) (Cat. #P30928) western blot analysis in mouse bladder tissue lysates (35ug/lane).This demonstrates the KTAP2 antibody detected the KTAP2 protein (arrow). |
![]() |
KTAP2 Antibody (C-term) (Cat. #P30928) western blot analysis in A549 cell line lysates (35ug/lane).This demonstrates the KTAP2 antibody detected the KTAP2 protein (arrow). |
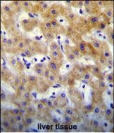
![]() |
KTAP2 Antibody (C-term) (Cat. #P30928)immunohistochemistry analysis in formalin fixed and paraffin embedded human liver tissue followed by peroxidase conjugation of the secondary antibody and DAB staining.This data demonstrates the use of KTAP2 Antibody (C-term) for immunohistochemistry. Clinical relevance has not been evaluated. |
本公司的所有产品仅用于科学研究或者工业应用等非医疗目的,不可用于人类或动物的临床诊断或治疗,非药用,非食用。
暂无评论
本公司的所有产品仅用于科学研究或者工业应用等非医疗目的,不可用于人类或动物的临床诊断或治疗,非药用,非食用。
中文



发表回复