别名:L1.2; LRE1应用:WB,IHC
反应种属:Human
规格:50μl/100μl
| Description |
|---|
| Nucleic acid-binding protein which is essential for retrotransposition of LINE-1 elements in the genome. May function as a nucleic acid chaperone binding its own transcript and therefore preferentially mobilizing the transcript from which they are encoded. |
| Specification | |
|---|---|
| Aliases | L1.2; LRE1 |
| Swissprot | Q9UN81 |
| WB Predicted band size | 40 kDa |
| Host/Isotype | Rabbit IgG |
| Storage | Store at 4°C short term. Aliquot and store at -20°C long term. Avoid freeze/thaw cycles. |
| Species Reactivity | Human |
| Immunogen | Synthetic peptide of human L1RE1 |
| Formulation | pH7.4 PBS, 0.05% NaN3, 40% Glycerol |
| Application | |
|---|---|
| WB | 1/200-1/1000 |
| IHC | 1/25-1/100 |
| ELISA | 1/5000-1/10000 |
![]() |
Gel: 8%SDS-PAGE, Lysate: 40 μg, Lane 1-2: A431 and 293T cell lysates, Primary antibody: P13167(L1RE1 Antibody) at dilution 1/200, Secondary antibody: Goat anti rabbit IgG at 1/8000 dilution, Exposure time: 10 seconds |
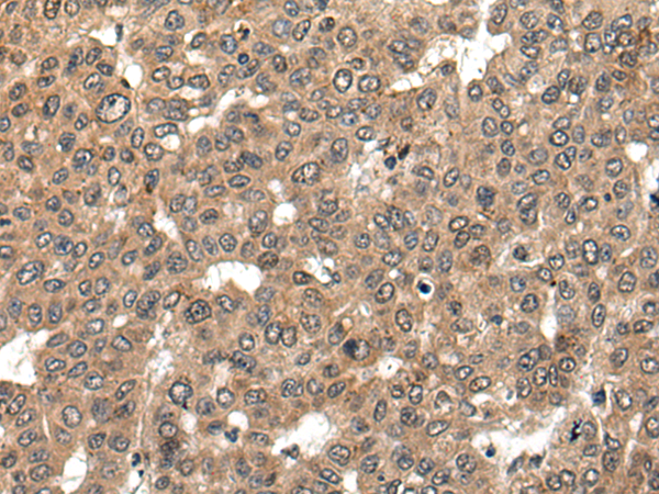
![]() |
The image is immunohistochemistry of paraffin-embedded Human liver cancer tissue using P13167(L1RE1 Antibody) at dilution 1/20. (Original magnification: ×200) |
![]() |
The image is immunohistochemistry of paraffin-embedded Human ovarian cancer tissue using P13167(L1RE1 Antibody) at dilution 1/20. (Original magnification: ×200) |
本公司的所有产品仅用于科学研究或者工业应用等非医疗目的,不可用于人类或动物的临床诊断或治疗,非药用,非食用。
暂无评论
本公司的所有产品仅用于科学研究或者工业应用等非医疗目的,不可用于人类或动物的临床诊断或治疗,非药用,非食用。
中文



发表回复