别名:L3MBT; H-l(3)mbt-l应用:WB,IHC
反应种属:Human, Mouse, Rat
规格:50μl/100μl
| Description |
|---|
| Putative Polycomb group (PcG) protein. PcG proteins maintain the transcriptionally repressive state of genes, probably via a modification of chromatin, rendering it heritably changed in its expressibility. Its association with a chromatin-remodeling complex suggests that it may contribute to prevent expression of genes that trigger the cell into mitosis. Binds to monomethylated and dimethylated ‘Lys-20’ on histone H4. Binds histone H3 peptides that are monomethylated or dimethylated on ‘Lys-4’, ‘Lys-9’ or ‘Lys-27’. |
| Specification | |
|---|---|
| Aliases | L3MBT; H-l(3)mbt-l |
| Swissprot | Q969R5 |
| WB Predicted band size | 79 kDa |
| Host/Isotype | Rabbit IgG |
| Storage | Store at 4°C short term. Aliquot and store at -20°C long term. Avoid freeze/thaw cycles. |
| Species Reactivity | Human, Mouse, Rat |
| Immunogen | Fusion protein of human L3MBTL2 |
| Formulation | pH7.4 PBS, 0.05% NaN3, 40% Glycerol |
| Application | |
|---|---|
| WB | 1/500-1/2000 |
| IHC | 1/50-1/100 |
| ELISA | 1/5000-1/10000 |
![]() |
Gel: 8%SDS-PAGE, Lysate: 40 μg, Lane: Mouse thymus tissue lysate, Primary antibody: P03219(L3MBTL2 Antibody) at dilution 1/800, Secondary antibody: Goat anti rabbit IgG at 1/5000 dilution, Exposure time: 35 seconds |
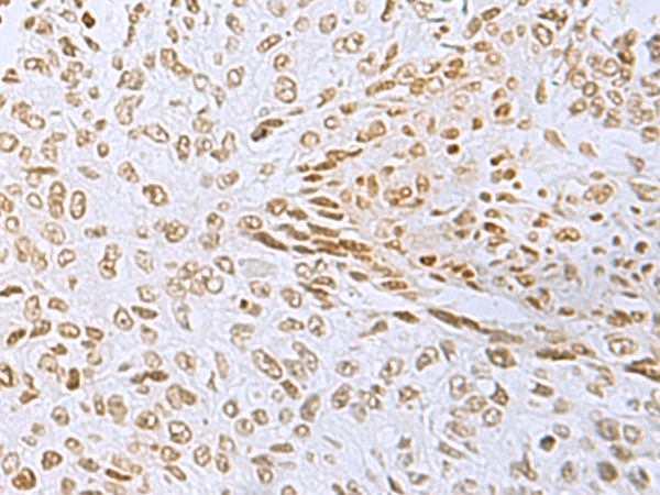
![]() |
The image is immunohistochemistry of paraffin-embedded Human lung cancer tissue using P03219(L3MBTL2 Antibody) at dilution 1/60. (Original magnification: ×200) |
本公司的所有产品仅用于科学研究或者工业应用等非医疗目的,不可用于人类或动物的临床诊断或治疗,非药用,非食用。
暂无评论
本公司的所有产品仅用于科学研究或者工业应用等非医疗目的,不可用于人类或动物的临床诊断或治疗,非药用,非食用。
中文


发表回复