别名:CD306应用:WB,IHC
反应种属:Human, Mouse
规格:50μl/100μl
| Description |
|---|
| The protein encoded by this gene is a member of the immunoglobulin superfamily. It was identified by its similarity to leukocyte-associated immunoglobulin-like receptor 1, a membrane-bound receptor that modulates innate immune response. The protein encoded by this locus is a soluble receptor that may play roles in both inhibition of collagen-induced platelet aggregation and vessel formation during placental implantation. This gene maps to a region of 19q13.4, termed the leukocyte receptor cluster, which contains 29 genes in the immunoglobulin superfamily. Alternatively spliced transcript variants have been described for this gene. |
| Specification | |
|---|---|
| Aliases | CD306 |
| Swissprot | Q6ISS4 |
| WB Predicted band size | 16 kDa |
| Host/Isotype | Rabbit IgG |
| Storage | Store at 4°C short term. Aliquot and store at -20°C long term. Avoid freeze/thaw cycles. |
| Species Reactivity | Human, Mouse |
| Immunogen | Synthetic peptide of human LAIR2 |
| Formulation | pH7.4 PBS, 0.05% NaN3, 40% Glycerol |
| Application | |
|---|---|
| WB | 1/1000-1/5000 |
| IHC | 1/50-1/200 |
| ELISA | 1/5000-1/10000 |
![]() |
Gel: 12%SDS-PAGE, Lysate: 40 μg, Lane: Mouse Pancreas tissue lysate, Primary antibody: P04069(LAIR2 Antibody) at dilution 1/1000, Secondary antibody: Goat anti rabbit IgG at 1/5000 dilution, Exposure time: 10 seconds |
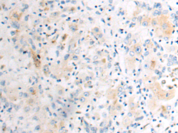
![]() |
The image is immunohistochemistry of paraffin-embedded Human liver cancer tissue using P04069(LAIR2 Antibody) at dilution 1/60. (Original magnification: ×200) |
本公司的所有产品仅用于科学研究或者工业应用等非医疗目的,不可用于人类或动物的临床诊断或治疗,非药用,非食用。
暂无评论
本公司的所有产品仅用于科学研究或者工业应用等非医疗目的,不可用于人类或动物的临床诊断或治疗,非药用,非食用。
中文


发表回复