别名:λlight chain应用:WB,IHC
反应种属:Human
规格:50μl/100μl
| Description |
|---|
| Antibody producing cells of the immune system require multiple rearrangements of immunoglobulin (antibody, Ig) genes. Immunoglobulins are four-chain, Y-shaped, monomeric structures of two identical heavy chains and two identical light chains held together through interchain disulfide bonds. Immunoglobulins in vertebrates help to remove non-self molecules or cells (antigens) by recognizing and binding to the antigen and carrying out effector functions that activate the immune system. Variable genetic combinations of the five heavy chain classes (M, D, G, E and A) and the two light chain isotypes, Kappa and Lambda, confer the role of an antibody. The variable region genes encoding immunoglobulin Kappa and Lambda chains are assembled from three DNA segments, the V, C and J genes. Kappa and Lambda consist of a variable region and a constant region and can easily be differentiated by the antigenic properties of the constant region. The ratio of Kappa to Lambda is 70:30 , the vast majority of which is bound to heavy-chain in immunoglobulin. |
| Specification | |
|---|---|
| Aliases | λlight chain |
| Swissprot | P01701 |
| WB Predicted band size | 25 kDa |
| Host/Isotype | Rabbit IgG |
| Storage | Store at 4°C short term. Aliquot and store at -20°C long term. Avoid freeze/thaw cycles. |
| Species Reactivity | Human |
| Immunogen | Synthetic peptide of human Lambda Light chain |
| Formulation | pH7.4 PBS, 0.05% NaN3, 40% Glycerol |
| Application | |
|---|---|
| WB | 1/200-1/1000 |
| IHC | 1/25-1/100 |
| ELISA | 1/1000-1/2000 |
![]() |
Gel: 12%SDS-PAGE, Lysate: 40 μg, Lane: Human plasma solution, Primary antibody: P04356(Lambda Light chain Antibody) at dilution 1/200, Secondary antibody: Goat anti rabbit IgG at 1/8000 dilution, Exposure time: 10 seconds |
![]() |
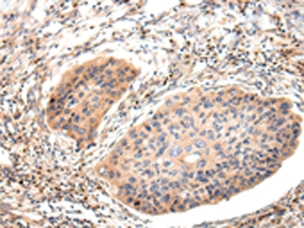
The image is immunohistochemistry of paraffin-embedded Human esophagus cancer tissue using P04356(Lambda Light chain Antibody) at dilution 1/20. (Original magnification: ×200) |
![]() |
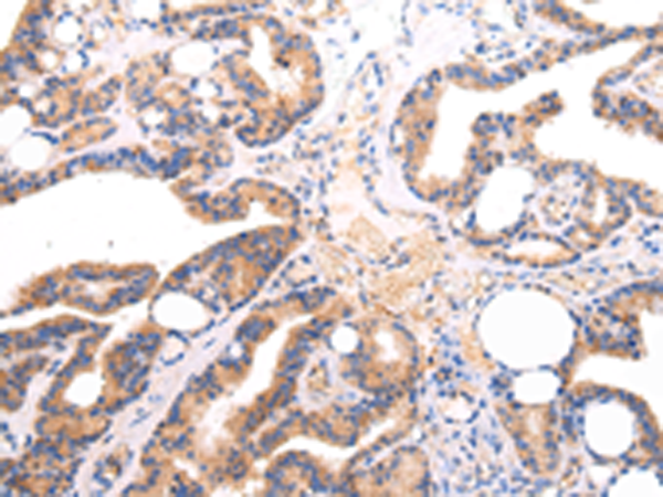
The image is immunohistochemistry of paraffin-embedded Human thyroid cancer tissue using P04356(Lambda Light chain Antibody) at dilution 1/20. (Original magnification: ×200) |
本公司的所有产品仅用于科学研究或者工业应用等非医疗目的,不可用于人类或动物的临床诊断或治疗,非药用,非食用。
暂无评论
本公司的所有产品仅用于科学研究或者工业应用等非医疗目的,不可用于人类或动物的临床诊断或治疗,非药用,非食用。
中文



发表回复