别名:Cytosol aminopeptidase, Leucine aminopeptidase 3, LAP-3, Leucyl aminopeptidase, Peptidase S, Proline aminopeptidase, Prolyl aminopeptidase, LAP3, LAPEP, PEPS应用:WB,IHC
反应种属:Human
规格:50μl/100μl
| Description |
|---|
| LAP3 is presumably involved in the processing and regular turnover of intracellular proteins. It catalyzes the removal of unsubstituted N-terminal amino acids from various peptides.Release of an N-terminal amino acid, Xaa-|-Yaa-, in which Xaa is preferably Leu, but may be other amino acids including Pro although not Arg or Lys, and Yaa may be Pro. |
| Specification | |
|---|---|
| Aliases | Cytosol aminopeptidase, Leucine aminopeptidase 3, LAP-3, Leucyl aminopeptidase, Peptidase S, Proline aminopeptidase, Prolyl aminopeptidase, LAP3, LAPEP, PEPS |
| Entrez GeneID | 51056 |
| Swissprot | P28838 |
| WB Predicted band size | 56.2kDa |
| Host/Isotype | Rabbit IgG |
| Storage | Store at 4°C short term. Aliquot and store at -20°C long term. Avoid freeze/thaw cycles. |
| Species Reactivity | Human |
| Immunogen | This LAP3 antibody is generated from rabbits immunized with a KLH conjugated synthetic peptide between 89-119 amino acids from the N-terminal region of human LAP3. |
| Formulation | Purified polyclonal antibody supplied in PBS with 0.05% sodium azide. This antibody is prepared by Saturated Ammonium Sulfate (SAS) precipitation followed by dialysis against PBS. |
| Application | |
|---|---|
| WB | 1/1000 |
| IHC | 1/100-1/500 |
![]() |
Western blot analysis of anti-LAP3(N-term) Pab (Cat.#P30256) in HepG2 cell line lysates (35ug/lane). LAP3(arrow) was detected using the purified Pab. |
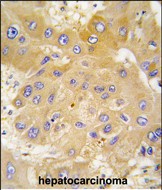
![]() |
Formalin-fixed and paraffin-embedded human hepatocarcinoma tissue reacted with LAP3 antibody (N-term) (Cat.#P30256), which was peroxidase-conjugated to the secondary antibody, followed by DAB staining. This data demonstrates the use of this antibody for immunohistochemistry; clinical relevance has not been evaluated. |
本公司的所有产品仅用于科学研究或者工业应用等非医疗目的,不可用于人类或动物的临床诊断或治疗,非药用,非食用。
暂无评论
本公司的所有产品仅用于科学研究或者工业应用等非医疗目的,不可用于人类或动物的临床诊断或治疗,非药用,非食用。
中文


发表回复