别名:应用:WB,IHC
反应种属:Human, Mouse
规格:50μl/100μl
| Description |
|---|
| Layilin is a recently cloned ∼55-kDa membrane-binding partner for talin (Borowsky and Hynes, 1998 ) that is widely expressed in different cell types and tissue extracts. It is found in peripheral ruffles of spreading cells and is recruited to membrane ruffles in cells induced to migrate in in vitro wounding experiments. Layilin colocalizes with talin in ruffles and binds to talin’s ∼50-kDa head domain (amino acids 280–435). Other parts of talin (the ∼220-kDa tail fragment) can bind β-integrin cytoplasmic tails, vinculin, and F-actin and hence form an integrin-cytoskeleton linkage at sites of cell-substratum contact. Layilin’s extracellular domain is homologous with the carbohydrate-recognition domains (CRD) of C-type lectins. Receptor for hyaluronate. |
| Specification | |
|---|---|
| Swissprot | Q6UX15 |
| WB Predicted band size | 43 kDa |
| Host/Isotype | Rabbit IgG |
| Storage | Store at 4°C short term. Aliquot and store at -20°C long term. Avoid freeze/thaw cycles. |
| Species Reactivity | Human, Mouse |
| Immunogen | Synthetic peptide of human LAYN |
| Formulation | pH7.4 PBS, 0.05% NaN3, 40% Glycerol |
| Application | |
|---|---|
| WB | 1/500-1/2000 |
| IHC | 1/50-1/100 |
| ELISA | 1/5000-1/10000 |
![]() |
Gel: 8%SDS-PAGE, Lysate: 40 μg, Lane 1-2: Jurkat and K562 cell lysates, Primary antibody: P04068(LAYN Antibody) at dilution 1/700, Secondary antibody: Goat anti rabbit IgG at 1/5000 dilution, Exposure time: 2 minutes |
![]() |
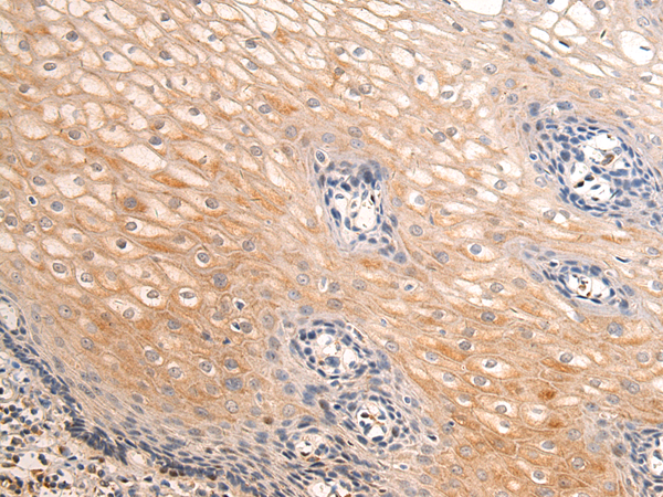
The image is immunohistochemistry of paraffin-embedded Human esophagus cancer tissue using P04068(LAYN Antibody) at dilution 1/50. (Original magnification: ×200) |
本公司的所有产品仅用于科学研究或者工业应用等非医疗目的,不可用于人类或动物的临床诊断或治疗,非药用,非食用。
暂无评论
本公司的所有产品仅用于科学研究或者工业应用等非医疗目的,不可用于人类或动物的临床诊断或治疗,非药用,非食用。
中文


发表回复