别名:NLI; CLIM2; LDB-1; CLIM-2应用:WB,IHC
反应种属:Human, Mouse
规格:50μl/100μl
| Description |
|---|
| Binds to the LIM domain of a wide variety of LIM domain-containing transcription factors. May regulate the transcriptional activity of LIM-containing proteins by determining specific partner interactions. Plays a role in the development of interneurons and motor neurons in cooperation with LHX3 and ISL1. Acts synergistically with LHX1/LIM1 in axis formation and activation of gene expression. Acts with LMO2 in the regulation of red blood cell development, maintaining erythroid precursors in an immature state (By similarity). |
| Specification | |
|---|---|
| Aliases | NLI; CLIM2; LDB-1; CLIM-2 |
| Swissprot | Q86U70 |
| WB Predicted band size | 47 kDa |
| Host/Isotype | Rabbit IgG |
| Storage | Store at 4°C short term. Aliquot and store at -20°C long term. Avoid freeze/thaw cycles. |
| Species Reactivity | Human, Mouse |
| Immunogen | Fusion protein of human LDB1 |
| Formulation | pH7.4 PBS, 0.05% NaN3, 40% Glycerol |
| Application | |
|---|---|
| WB | 1/1000-1/5000 |
| IHC | 1/70-1/350 |
| ELISA | 1/5000-1/10000 |
![]() |
Gel: 8%SDS-PAGE, Lysate: 40 μg, Lane: 293T cell lysate, Primary antibody: P03127(LDB1 Antibody) at dilution 1/1000, Secondary antibody: Goat anti rabbit IgG at 1/5000 dilution, Exposure time: 1 second |
![]() |
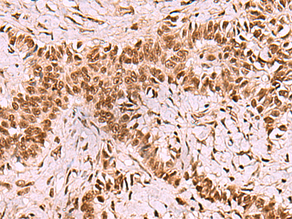
The image is immunohistochemistry of paraffin-embedded Human ovarian cancer tissue using P03127(LDB1 Antibody) at dilution 1/70. (Original magnification: ×200) |
![]() |
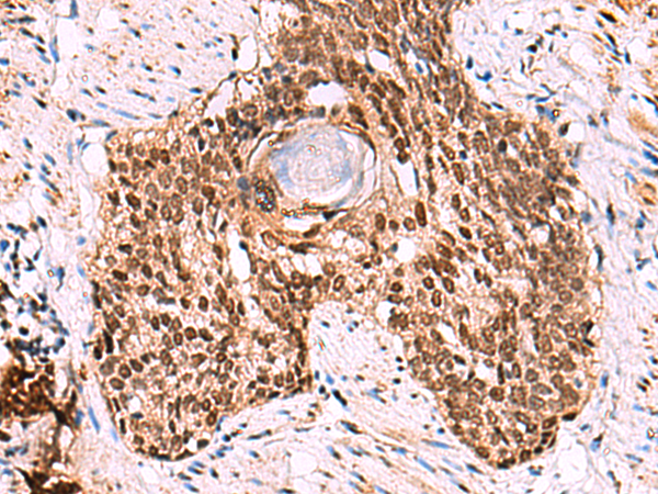
The image is immunohistochemistry of paraffin-embedded Human esophagus cancer tissue using P03127(LDB1 Antibody) at dilution 1/70. (Original magnification: ×200) |
本公司的所有产品仅用于科学研究或者工业应用等非医疗目的,不可用于人类或动物的临床诊断或治疗,非药用,非食用。
暂无评论
本公司的所有产品仅用于科学研究或者工业应用等非医疗目的,不可用于人类或动物的临床诊断或治疗,非药用,非食用。
中文



发表回复