别名:Leucine-rich repeat-containing G-protein coupled receptor 5, G-protein coupled receptor 49, G-protein coupled receptor 67, G-protein coupled receptor HG38, LGR5, GPR49, GPR67应用:WB,IHC,FCM
反应种属:Human
规格:50μl/100μl
| Description |
|---|
| LGR5/GPR49 is an orphan receptor. It may be an important receptor for signals controlling growth and differentiation of specific embryonic tissues. |
| Specification | |
|---|---|
| Aliases | Leucine-rich repeat-containing G-protein coupled receptor 5, G-protein coupled receptor 49, G-protein coupled receptor 67, G-protein coupled receptor HG38, LGR5, GPR49, GPR67 |
| Entrez GeneID | 8549 |
| Swissprot | O75473 |
| WB Predicted band size | 100.0kDa |
| Host/Isotype | Rabbit IgG |
| Storage | Store at 4°C short term. Aliquot and store at -20°C long term. Avoid freeze/thaw cycles. |
| Species Reactivity | Human |
| Immunogen | This LGR5 (GPR49) antibody is generated from rabbits immunized with a KLH conjugated synthetic peptide between 443-473 amino acids from the Central region of human LGR5 (GPR49). |
| Formulation | Purified polyclonal antibody supplied in PBS with 0.05% sodium azide. This antibody is prepared by Saturated Ammonium Sulfate (SAS) precipitation followed by dialysis against PBS. |
| Application | |
|---|---|
| WB | 1/1000 |
| IHC | 1/100-1/500 |
| FCM | 1/10-1/50 |
![]() |
Western blot analysis of anti-LGR5/GPR49 Antibody (Center) (Cat.#P30269) in K562 cell line lysates (35ug/lane). LGR5/GPR49(arrow) was detected using the purified Pab. |
![]() |
LGR5/GPR49 Antibody (Center) (Cat.#P30269) western blot analysis in HepG2 cell line lysates (35ug/lane).This demonstrates the LGR5/GPR49 antibody detected the LGR5/GPR49 protein (arrow)(Kindly offered by Dr. Li). |
![]() |
LGR5 (GPR49) Antibody (Center) (Cat. #P30269) flow cytometric analysis of Hela cells (right histogram) compared to a negative control cell (left histogram).FITC-conjugated goat-anti-rabbit secondary antibodies were used for the analysis. |
![]() |
Immunohistochemical analysis of paraffin-embedded Human brain section using Pink1(Cat#P30269). P30269 was diluted at 1:100 dilution. A undiluted biotinylated goat polyvalent antibody was used as the secondary, followed by DAB staining. |
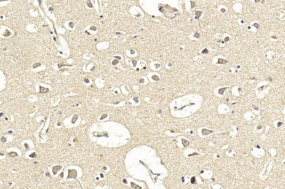
![]() |
Formalin-fixed and paraffin-embedded human brain tissue reacted with LGR5/GPR49 antibody (Center) (Cat.#P30269), which was peroxidase-conjugated to the secondary antibody, followed by DAB staining. This data demonstrates the use of this antibody for immunohistochemistry; clinical relevance has not been evaluated. |
本公司的所有产品仅用于科学研究或者工业应用等非医疗目的,不可用于人类或动物的临床诊断或治疗,非药用,非食用。
暂无评论
本公司的所有产品仅用于科学研究或者工业应用等非医疗目的,不可用于人类或动物的临床诊断或治疗,非药用,非食用。
中文





发表回复