别名:SWS, SJS2, STWS, CD118, LIF-R应用:IHC
反应种属:Human
规格:50μl/100μl
| Description |
|---|
| This gene encodes a protein that belongs to the type I cytokine receptor family. This protein combines with a high-affinity converter subunit, gp130, to form a receptor complex that mediates the action of the leukemia inhibitory factor, a polyfunctional cytokine that is involved in cellular differentiation, proliferation and survival in the adult and the embryo. Mutations in this gene cause Schwartz-Jampel syndrome type 2, a disease belonging to the group of the bent-bone dysplasias. A translocation that involves the promoter of this gene, t(5;8)(p13;q12) with the pleiomorphic adenoma gene 1, is associated with salivary gland pleiomorphic adenoma, a common type of benign epithelial tumor of the salivary gland. Multiple splice variants encoding the same protein have been found for this gene. |
| Specification | |
|---|---|
| Aliases | SWS, SJS2, STWS, CD118, LIF-R |
| Swissprot | P42702 |
| Host/Isotype | Rabbit IgG |
| Storage | Store at 4°C short term. Aliquot and store at -20°C long term. Avoid freeze/thaw cycles. |
| Species Reactivity | Human |
| Immunogen | Synthetic peptide of human LIFR |
| Formulation | pH7.4 PBS, 0.05% NaN3, 40% Glycerol |
| Application | |
|---|---|
| IHC | 1/25-1/100 |
| ELISA | 1/1000-1/5000 |
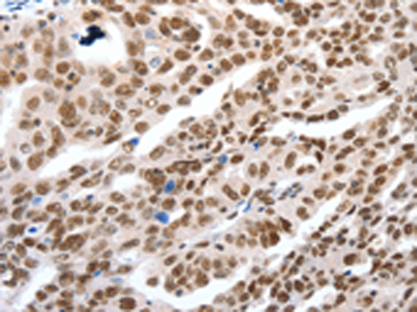
![]() |
The image is immunohistochemistry of paraffin-embedded Human colon cancer tissue using P04073(LIFR Antibody) at dilution 1/15. (Original magnification: ×200) |
![]() |
The image is immunohistochemistry of paraffin-embedded Human ovarian cancer tissue using P04073(LIFR Antibody) at dilution 1/15. (Original magnification: ×200) |
本公司的所有产品仅用于科学研究或者工业应用等非医疗目的,不可用于人类或动物的临床诊断或治疗,非药用,非食用。
暂无评论
本公司的所有产品仅用于科学研究或者工业应用等非医疗目的,不可用于人类或动物的临床诊断或治疗,非药用,非食用。
中文


发表回复