别名:LIM domain kinase 2, LIMK-2, LIMK2应用:WB
反应种属:Human
规格:50μl/100μl
| Description |
|---|
| Displays serine/threonine-specific phosphorylation of myelin basic protein and histone (MBP) in vitro. |
| Specification | |
|---|---|
| Aliases | LIM domain kinase 2, LIMK-2, LIMK2 |
| Entrez GeneID | 3985 |
| Swissprot | P53671 |
| WB Predicted band size | 72.2kDa |
| Host/Isotype | Rabbit IgG |
| Storage | Store at 4°C short term. Aliquot and store at -20°C long term. Avoid freeze/thaw cycles. |
| Species Reactivity | Human |
| Immunogen | This LIMK2 antibody is generated from rabbits immunized with a KLH conjugated synthetic peptide between 570-599 amino acids from the C-terminal region of human LIMK2. |
| Formulation | Purified polyclonal antibody supplied in PBS with 0.05% sodium azide. This antibody is purified through a protein A column, followed by peptide affinity purification. |
| Application | |
|---|---|
| WB | 1/1000 |
![]() |
Western blot analysis of lysates from Jurkat cell line and human placenta tissue lysate (from left to right), using LIMK2 Antibody (C-term) (Cat. #P32600). P32600 was diluted at 1:1000 at each lane. A goat anti-rabbit IgG H&L(HRP) at 1:5000 dilution was used as the secondary antibody. Lysate at 35ug per lane. |
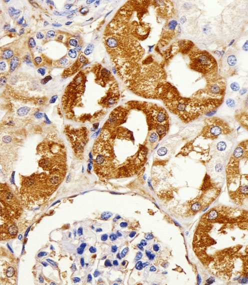
![]() |
Immunohistochemical analysis of paraffin-embedded H.kidney section using LIMK2 Antibody (C-term)(Cat#P32600). P32600 was diluted at 1:25 dilution. A peroxidase-conjugated goat anti-rabbit IgG at 1:400 dilution was used as the secondary antibody, followed by DAB staining. |
本公司的所有产品仅用于科学研究或者工业应用等非医疗目的,不可用于人类或动物的临床诊断或治疗,非药用,非食用。
暂无评论
本公司的所有产品仅用于科学研究或者工业应用等非医疗目的,不可用于人类或动物的临床诊断或治疗,非药用,非食用。
中文


发表回复