别名:LERN1; MRT64; LRRN6A; UNQ201应用:IHC
反应种属:Human, Mouse
规格:50μl/100μl
| Description |
|---|
| Functional component of the Nogo receptor signaling complex (RTN4R/NGFR) in RhoA activation responsible for some inhibition of axonal regeneration by myelin-associated factors (PubMed:14966521, PubMed:15694321). Is also an important negative regulator of oligodentrocyte differentiation and axonal myelination (PubMed:15895088). Acts in conjunction with RTN4 and RTN4R in regulating neuronal precursor cell motility during cortical development (By similarity). |
| Specification | |
|---|---|
| Aliases | LERN1; MRT64; LRRN6A; UNQ201 |
| Swissprot | Q96FE5 |
| Host/Isotype | Rabbit IgG |
| Storage | Store at 4°C short term. Aliquot and store at -20°C long term. Avoid freeze/thaw cycles. |
| Species Reactivity | Human, Mouse |
| Immunogen | Synthetic peptide of human LINGO1 |
| Formulation | pH7.4 PBS, 0.05% NaN3, 40% Glycerol |
| Application | |
|---|---|
| IHC | 1/50-1/200 |
| ELISA | 1/5000-1/10000 |
![]() |
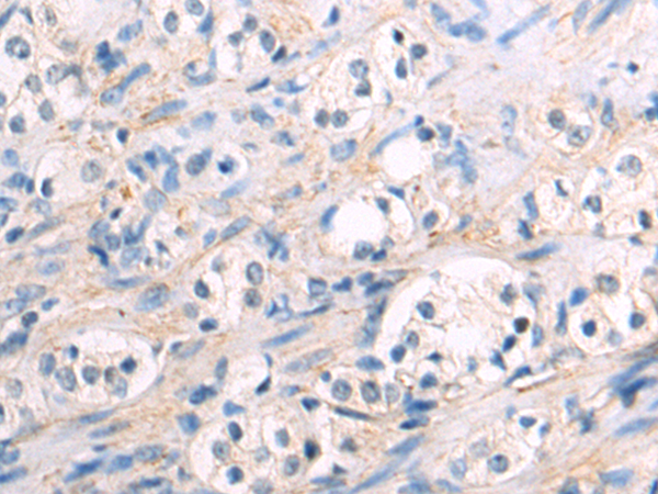
The image is immunohistochemistry of paraffin-embedded Human liver cancer tissue using P12771(LINGO1 Antibody) at dilution 1/50. (Original magnification: ×200) |
![]() |
The image is immunohistochemistry of paraffin-embedded Human prostate cancer tissue using P12771(LINGO1 Antibody) at dilution 1/50. (Original magnification: ×200) |
本公司的所有产品仅用于科学研究或者工业应用等非医疗目的,不可用于人类或动物的临床诊断或治疗,非药用,非食用。
暂无评论
本公司的所有产品仅用于科学研究或者工业应用等非医疗目的,不可用于人类或动物的临床诊断或治疗,非药用,非食用。
中文


发表回复