别名:Hepatic triacylglycerol lipase, HL, Hepatic lipase, Lipase member C, LIPC, HTGL应用:WB,IHC,FCM
反应种属:Human
规格:50μl/100μl
| Description |
|---|
| LIPC encodes hepatic triglyceride lipase, which is expressed in liver. LIPC has the dual functions of triglyceride hydrolase and ligand/bridging factor for receptor-mediated lipoprotein uptake. |
| Specification | |
|---|---|
| Aliases | Hepatic triacylglycerol lipase, HL, Hepatic lipase, Lipase member C, LIPC, HTGL |
| Entrez GeneID | 3990 |
| Swissprot | P11150 |
| WB Predicted band size | 55.9kDa |
| Host/Isotype | Rabbit IgG |
| Storage | Store at 4°C short term. Aliquot and store at -20°C long term. Avoid freeze/thaw cycles. |
| Species Reactivity | Human |
| Immunogen | This LIPC antibody is generated from rabbits immunized with a KLH conjugated synthetic peptide between 310-338 amino acids from the Central region of human LIPC. |
| Formulation | Purified polyclonal antibody supplied in PBS with 0.05% sodium azide. This antibody is purified through a protein A column, followed by peptide affinity purification. |
| Application | |
|---|---|
| WB | 1/500 |
| IHC | 1/100-1/500 |
| FCM | 1/10-1/50 |
![]() |
Anti-LIPC Antibody (Center) at 1:500 dilution + HT-29 whole cell lysate
Lysates/proteins at 20 µg per lane. Secondary Predicted band size : 56 kDa Blocking/Dilution buffer: 5% NFDM/TBST. |
![]() |
LIPC Antibody (Center) (Cat. #P33388) flow cytometric analysis of K562 cells (right histogram) compared to a negative control cell (left histogram).FITC-conjugated goat-anti-rabbit secondary antibodies were used for the analysis. |
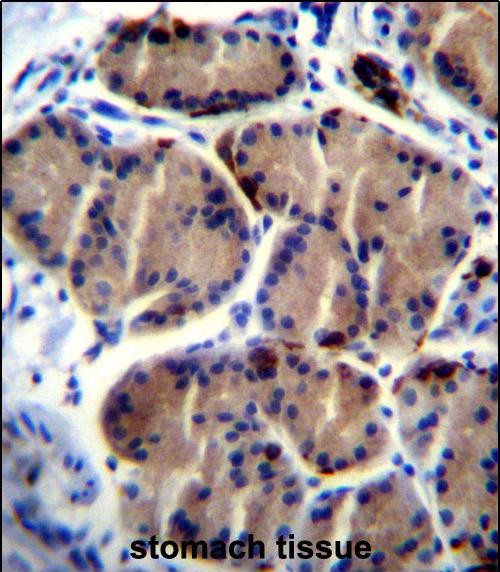
![]() |
LIPC Antibody (Center) (Cat. #P33388)immunohistochemistry analysis in formalin fixed and paraffin embedded human stomach tissue followed by peroxidase conjugation of the secondary antibody and DAB staining.This data demonstrates the use of LIPC Antibody (Center) for immunohistochemistry. Clinical relevance has not been evaluated. |
本公司的所有产品仅用于科学研究或者工业应用等非医疗目的,不可用于人类或动物的临床诊断或治疗,非药用,非食用。
暂无评论
本公司的所有产品仅用于科学研究或者工业应用等非医疗目的,不可用于人类或动物的临床诊断或治疗,非药用,非食用。
中文



发表回复