别名:Serine/threonine-protein kinase LMTK2, Apoptosis-associated tyrosine kinase 2, Brain-enriched kinase, hBREK, CDK5/p35-regulated kinase, CPRK, Kinase/phosphatase/inhibitor 2, Lemur tyrosine kinase 2, Serine/threonine-protein kinase KPI-2, LMTK2, AATYK2, BREK, KIAA1079, KPI2, LMR2应用:WB,IHC
反应种属:Human
规格:50μl/100μl
| Description |
|---|
| Protein kinases are enzymes that transfer a phosphate group from a phosphate donor, generally the g phosphate of ATP, onto an acceptor amino acid in a substrate protein. By this basic mechanism, protein kinases mediate most of the signal transduction in eukaryotic cells, regulating cellular metabolism, transcription, cell cycle progression, cytoskeletal rearrangement and cell movement, apoptosis, and differentiation. With more than 500 gene products, the protein kinase family is one of the largest families of proteins in eukaryotes. The family has been classified in 8 major groups based on sequence comparison of their tyrosine (PTK) or serine/threonine (STK) kinase catalytic domains. The tyrosine kinase (TK) group is mainly involved in the regulation of cell-cell interactions such as differentiation, adhesion, motility and death. There are currently about 90 TK genes sequenced, 58 are of receptor protein TK (e.g. EGFR, EPH, FGFR, PDGFR, TRK, and VEGFR families), and 32 of cytosolic TK (e.g. ABL, FAK, JAK, and SRC families). |
| Specification | |
|---|---|
| Aliases | Serine/threonine-protein kinase LMTK2, Apoptosis-associated tyrosine kinase 2, Brain-enriched kinase, hBREK, CDK5/p35-regulated kinase, CPRK, Kinase/phosphatase/inhibitor 2, Lemur tyrosine kinase 2, Serine/threonine-protein kinase KPI-2, LMTK2, AATYK2, BREK, KIAA1079, KPI2, LMR2 |
| Entrez GeneID | 22853 |
| Swissprot | Q8IWU2 |
| WB Predicted band size | 164.9kDa |
| Host/Isotype | Rabbit IgG |
| Storage | Store at 4°C short term. Aliquot and store at -20°C long term. Avoid freeze/thaw cycles. |
| Species Reactivity | Human |
| Immunogen | This LMTK2 antibody is generated from rabbits immunized with a KLH conjugated synthetic peptide between 70-100 amino acids from the N-terminal region of human LMTK2. |
| Formulation | Purified polyclonal antibody supplied in PBS with 0.05% sodium azide. This antibody is purified through a protein G column, eluted with high and low pH buffers and neutralized immediately, followed by dialysis against PBS. |
| Application | |
|---|---|
| WB | 1/1000 |
| IHC | 1/100-1/500 |
![]() |
Western blot analysis of LTK2 N-term (Cat. #P30158) in Hela cell line lysates (35ug/lane). LTK2 (arrow) was detected using the purified Pab. |
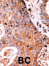
![]() |
Formalin-fixed and paraffin-embedded human cancer tissue reacted with the primary antibody, which was peroxidase-conjugated to the secondary antibody, followed by DAB staining. This data demonstrates the use of this antibody for immunohistochemistry; clinical relevance has not been evaluated. BC = breast carcinoma; HC = hepatocarcinoma. |
本公司的所有产品仅用于科学研究或者工业应用等非医疗目的,不可用于人类或动物的临床诊断或治疗,非药用,非食用。
暂无评论
本公司的所有产品仅用于科学研究或者工业应用等非医疗目的,不可用于人类或动物的临床诊断或治疗,非药用,非食用。
中文


发表回复