别名:Serine/threonine-protein kinase 10, Lymphocyte-oriented kinase, STK10, LOK应用:WB,IHC
反应种属:Human
规格:50μl/100μl
| Description |
|---|
| This gene encodes a member of the Ste20 family of serine/threonine protein kinases, and is similar to several known polo-like kinase kinases. The protein can associate with and phosphorylate polo-like kinase 1, and overexpression of a kinase-dead version of the protein interferes with normal cell cycle progression. The kinase can also negatively regulate interleukin 2 expression in T-cells via the mitogen activated protein kinase kinase 1 pathway. |
| Specification | |
|---|---|
| Aliases | Serine/threonine-protein kinase 10, Lymphocyte-oriented kinase, STK10, LOK |
| Entrez GeneID | 6793 |
| Swissprot | O94804 |
| WB Predicted band size | 112.1kDa |
| Host/Isotype | Rabbit IgG |
| Storage | Store at 4°C short term. Aliquot and store at -20°C long term. Avoid freeze/thaw cycles. |
| Species Reactivity | Human |
| Immunogen | This LOK antibody is generated from rabbits immunized with a KLH conjugated synthetic peptide between 692-721 amino acids from the C-terminal region of human LOK. |
| Formulation | Purified polyclonal antibody supplied in PBS with 0.05% sodium azide. This antibody is purified through a protein G column, eluted with high and low pH buffers and neutralized immediately, followed by dialysis against PBS. |
| Application | |
|---|---|
| WB | 1/1000 |
| IHC | 1/100-1/500 |
![]() |
The anti-LOK Pab (Cat. #P30042) is used in Western blot to detect LOK in Jurkat cell lysate. |
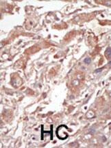
![]() |
Formalin-fixed and paraffin-embedded human cancer tissue reacted with the primary antibody, which was peroxidase-conjugated to the secondary antibody, followed by DAB staining. This data demonstrates the use of this antibody for immunohistochemistry; clinical relevance has not been evaluated. BC = breast carcinoma; HC = hepatocarcinoma. |
本公司的所有产品仅用于科学研究或者工业应用等非医疗目的,不可用于人类或动物的临床诊断或治疗,非药用,非食用。
暂无评论
本公司的所有产品仅用于科学研究或者工业应用等非医疗目的,不可用于人类或动物的临床诊断或治疗,非药用,非食用。
中文


发表回复