别名:AYTL1; AGPAT11; LysoPAFAT应用:WB,IHC
反应种属:Human, Mouse, Rat
规格:50μl/100μl
| Description |
|---|
| This gene encodes a member of the lysophospholipid acyltransferase family. The encoded enzyme may function in two ways: to catalyze the biosynthesis of platelet-activating factor (1-O-alkyl-2-acetyl-sn-glycero-3-phosphocholine) from 1-O-alkyl-sn-glycero-3-phosphocholine, and to catalyze the synthesis of glycerophospholipid precursors from arachidonyl-CoA and lysophosphatidylcholine. The encoded protein may function in membrane biogenesis and production of platelet-activating factor in inflammatory cells. The enzyme may localize to the endoplasmic reticulum and the Golgi. |
| Specification | |
|---|---|
| Aliases | AYTL1; AGPAT11; LysoPAFAT |
| Swissprot | Q7L5N7 |
| WB Predicted band size | 60 kDa |
| Host/Isotype | Rabbit IgG |
| Storage | Store at 4°C short term. Aliquot and store at -20°C long term. Avoid freeze/thaw cycles. |
| Species Reactivity | Human, Mouse, Rat |
| Immunogen | Fusion protein of human LPCAT2 |
| Formulation | pH7.4 PBS, 0.05% NaN3, 40% Glycerol |
| Application | |
|---|---|
| WB | 1/200-1/1000 |
| IHC | 1/100-1/200 |
| ELISA | 1/5000-1/10000 |
![]() |
Gel: 8%SDS-PAGE, Lysate: 40 μg, Lane: Mouse thymus tissue lysate, Primary antibody: P02922(LPCAT2 Antibody) at dilution 1/400, Secondary antibody: Goat anti rabbit IgG at 1/5000 dilution, Exposure time: 20 seconds |
![]() |
The image is immunohistochemistry of paraffin-embedded Human colorectal cancer tissue using P02922(LPCAT2 Antibody) at dilution 1/120. (Original magnification: ×200) |
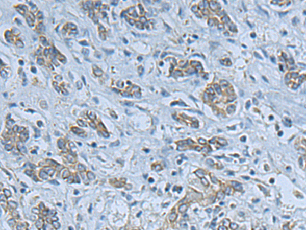
![]() |
The image is immunohistochemistry of paraffin-embedded Human liver cancer tissue using P02922(LPCAT2 Antibody) at dilution 1/120. (Original magnification: ×200) |
本公司的所有产品仅用于科学研究或者工业应用等非医疗目的,不可用于人类或动物的临床诊断或治疗,非药用,非食用。
暂无评论
本公司的所有产品仅用于科学研究或者工业应用等非医疗目的,不可用于人类或动物的临床诊断或治疗,非药用,非食用。
中文



发表回复