别名:AYTL3; AGPAT7; LPEAT2; LPAAT-eta应用:WB,IHC
反应种属:Human, Mouse
规格:50μl/100μl
| Description |
|---|
| Members of the 1-acylglycerol-3-phosphate O-acyltransferase (EC 2.3.1.51) family, such as AGPAT7, catalyze the conversion of lysophosphatidic acid (LPA) to phosphatidic acid (PA), a precursor in the biosynthesis of all glycerolipids. Both LPA and PA are involved in signal transduction. |
| Specification | |
|---|---|
| Aliases | AYTL3; AGPAT7; LPEAT2; LPAAT-eta |
| Swissprot | Q643R3 |
| WB Predicted band size | 57 kDa |
| Host/Isotype | Rabbit IgG |
| Storage | Store at 4°C short term. Aliquot and store at -20°C long term. Avoid freeze/thaw cycles. |
| Species Reactivity | Human, Mouse |
| Immunogen | Synthetic peptide of human LPCAT4 |
| Formulation | pH7.4 PBS, 0.05% NaN3, 40% Glycerol |
| Application | |
|---|---|
| WB | 1/500-1/2000 |
| IHC | 1/50-1/100 |
| ELISA | 1/5000-1/10000 |
![]() |
Gel: 8%SDS-PAGE, Lysate: 40 μg, Lane 1-2: Human cerebella tissue, Human cerebrum tissue lysates, Primary antibody: P11174(LPCAT4 Antibody) at dilution 1/200, Secondary antibody: Goat anti rabbit IgG at 1/5000 dilution, Exposure time: 40 seconds |
![]() |
The image is immunohistochemistry of paraffin-embedded Human esophagus cancer tissue using P11174(LPCAT4 Antibody) at dilution 1/30. (Original magnification: ×200) |
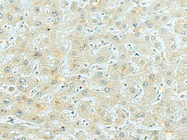
![]() |
The image is immunohistochemistry of paraffin-embedded Human liver cancer tissue using P11174(LPCAT4 Antibody) at dilution 1/30. (Original magnification: ×200) |
本公司的所有产品仅用于科学研究或者工业应用等非医疗目的,不可用于人类或动物的临床诊断或治疗,非药用,非食用。
暂无评论
本公司的所有产品仅用于科学研究或者工业应用等非医疗目的,不可用于人类或动物的临床诊断或治疗,非药用,非食用。
中文



发表回复