别名:Lipid phosphate phosphatase-related protein type 4, Brain-specific phosphatidic acid phosphatase-like protein 1, Plasticity-related gene 1 protein, PRG-1, LPPR4, KIAA0455, PRG1应用:WB,IHC,FCM
反应种属:Human
规格:50μl/100μl
| Description |
|---|
| LPPR4 belongs to the lipid phosphate phosphatase (LPP) family. LPPs catalyze the dephosphorylation of a number of bioactive lipid mediators that regulate a variety of cell functions. This protein is specifically expressed in neurons. It is located in the membranes of outgrowing axons and has been shown to be important for axonal outgrowth during development and regenerative sprouting. |
| Specification | |
|---|---|
| Aliases | Lipid phosphate phosphatase-related protein type 4, Brain-specific phosphatidic acid phosphatase-like protein 1, Plasticity-related gene 1 protein, PRG-1, LPPR4, KIAA0455, PRG1 |
| Entrez GeneID | 9890 |
| Swissprot | Q7Z2D5 |
| WB Predicted band size | 83.0kDa |
| Host/Isotype | Rabbit IgG |
| Storage | Store at 4°C short term. Aliquot and store at -20°C long term. Avoid freeze/thaw cycles. |
| Species Reactivity | Human |
| Immunogen | This LPPR4 antibody is generated from rabbits immunized with a KLH conjugated synthetic peptide between 666-695 amino acids from the C-terminal region of human LPPR4. |
| Formulation | Purified polyclonal antibody supplied in PBS with 0.05% sodium azide. This antibody is purified through a protein A column, followed by peptide affinity purification. |
| Application | |
|---|---|
| WB | 1/1000 |
| IHC | 1/100-1/500 |
| FCM | 1/10-1/50 |
![]() |
LPPR4 Antibody (C-term) (Cat. #P30616) western blot analysis in Hela,Jurkat,NCI-H460 cell line lysates (35ug/lane).This demonstrates the LPPR4 antibody detected the LPPR4 protein (arrow). |
![]() |
LPPR4 Antibody (C-term) (Cat. #P30616) flow cytometric analysis of NCI-H460 cells (right histogram) compared to a negative control cell (left histogram).FITC-conjugated goat-anti-rabbit secondary antibodies were used for the analysis. |
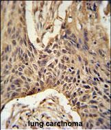
![]() |
LPPR4 Antibody (C-term) (Cat. #P30616) immunohistochemistry analysis in formalin fixed and paraffin embedded human lung carcinoma followed by peroxidase conjugation of the secondary antibody and DAB staining. This data demonstrates the use of the LPPR4 Antibody (C-term) for immunohistochemistry. Clinical relevance has not been evaluated. |
本公司的所有产品仅用于科学研究或者工业应用等非医疗目的,不可用于人类或动物的临床诊断或治疗,非药用,非食用。
暂无评论
本公司的所有产品仅用于科学研究或者工业应用等非医疗目的,不可用于人类或动物的临床诊断或治疗,非药用,非食用。
中文



发表回复