别名:NSE1; FAM84A; PP11517应用:WB,IHC
反应种属:Human, Mouse
规格:50μl/100μl
| Description |
|---|
| May play a role in cell morphology and motility. |
| Specification | |
|---|---|
| Aliases | NSE1; FAM84A; PP11517 |
| Swissprot | Q96KN4 |
| WB Predicted band size | 32 kDa |
| Host/Isotype | Rabbit IgG |
| Storage | Store at 4°C short term. Aliquot and store at -20°C long term. Avoid freeze/thaw cycles. |
| Species Reactivity | Human, Mouse |
| Immunogen | Synthetic peptide of human LRATD1 |
| Formulation | pH7.4 PBS, 0.05% NaN3, 40% Glycerol |
| Application | |
|---|---|
| WB | 1/500-1/2000 |
| IHC | 1/40-1/200 |
| ELISA | 1/5000-1/10000 |
![]() |
Gel: 8%SDS-PAGE, Lysate: 40 μg, Lane: Mouse small intestines tissue lysate, Primary antibody: P13388(LRATD1 Antibody) at dilution 1/300, Secondary antibody: Goat anti rabbit IgG at 1/8000 dilution, Exposure time: 30 seconds |
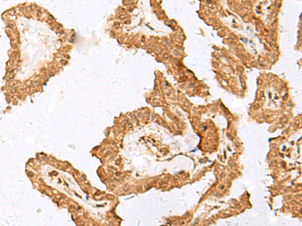
![]() |
The image is immunohistochemistry of paraffin-embedded Human thyroid cancer tissue using P13388(LRATD1 Antibody) at dilution 1/35. (Original magnification: ×200) |
本公司的所有产品仅用于科学研究或者工业应用等非医疗目的,不可用于人类或动物的临床诊断或治疗,非药用,非食用。
暂无评论
本公司的所有产品仅用于科学研究或者工业应用等非医疗目的,不可用于人类或动物的临床诊断或治疗,非药用,非食用。
中文


发表回复