别名:NSE2; FAM84B; BCMP101应用:WB,IHC
反应种属:Human
规格:50μl/100μl
| Description |
|---|
| FAM84B (family with sequence similarity 84, member B), also known as NSE2 or BCMP101, is a 310 amino acid protein that is expressed in esophageal squamous cell carcinomas, suggesting a role in tumor development and metastasis. The gene encoding FAM84B maps to human chromosome 8, which consists of nearly 146 million base pairs, houses more than 800 genes and is associated with a variety of diseases and malignancies. Schizophrenia, bipolar disorder, trisomy 8, Pfeiffer syndrome, congenital hypothyroidism, Waardenburg syndrome and some leukemias and lymphomas are thought to occur as a result of defects in specific genes that map to chromosome 8. |
| Specification | |
|---|---|
| Aliases | NSE2; FAM84B; BCMP101 |
| Swissprot | Q96KN1 |
| WB Predicted band size | 34 kDa |
| Host/Isotype | Rabbit IgG |
| Storage | Store at 4°C short term. Aliquot and store at -20°C long term. Avoid freeze/thaw cycles. |
| Species Reactivity | Human |
| Immunogen | Synthetic peptide of human LRATD2 |
| Formulation | pH7.4 PBS, 0.05% NaN3, 40% Glycerol |
| Application | |
|---|---|
| WB | 1/500-1/2000 |
| IHC | 1/50-1/300 |
| ELISA | 1/5000-1/10000 |
![]() |
Gel: 8%SDS-PAGE, Lysate: 40 μg, Lane 1-2: HUVEC and PC3 cell lysates, Primary antibody: P06499(LRATD2 Antibody) at dilution 1/400, Secondary antibody: Goat anti rabbit IgG at 1/8000 dilution, Exposure time: 30 seconds |
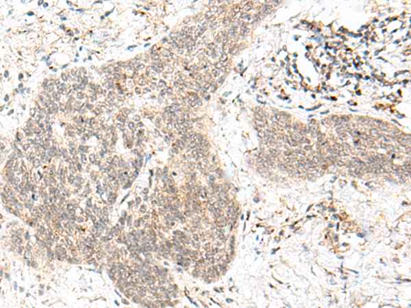
![]() |
The image is immunohistochemistry of paraffin-embedded Human esophagus cancer tissue using P06499(LRATD2 Antibody) at dilution 1/70. (Original magnification: ×200) |
![]() |
The image is immunohistochemistry of paraffin-embedded Human thyroid cancer tissue using P06499(LRATD2 Antibody) at dilution 1/70. (Original magnification: ×200) |
本公司的所有产品仅用于科学研究或者工业应用等非医疗目的,不可用于人类或动物的临床诊断或治疗,非药用,非食用。
暂无评论
本公司的所有产品仅用于科学研究或者工业应用等非医疗目的,不可用于人类或动物的临床诊断或治疗,非药用,非食用。
中文



发表回复