别名:Low-density lipoprotein receptor-related protein 12, LRP-12, Suppressor of tumorigenicity 7 protein, LRP12, ST7应用:WB,IHC,ICC,FCM
反应种属:Human
规格:50μl/100μl
| Description |
|---|
| This gene encodes a member of the low-density lipoprotein receptor related protein family. The product of this gene is a transmembrane protein that is differentially expressed in many cancer cells. Alternate splicing results in multiple transcript variants. |
| Specification | |
|---|---|
| Aliases | Low-density lipoprotein receptor-related protein 12, LRP-12, Suppressor of tumorigenicity 7 protein, LRP12, ST7 |
| Entrez GeneID | 29967 |
| Swissprot | Q9Y561 |
| WB Predicted band size | 95.0kDa |
| Host/Isotype | Rabbit IgG |
| Storage | Store at 4°C short term. Aliquot and store at -20°C long term. Avoid freeze/thaw cycles. |
| Species Reactivity | Human |
| Immunogen | This LRP12 antibody is generated from rabbits immunized with a KLH conjugated synthetic peptide between 635-662 amino acids from the C-terminal region of human LRP12. |
| Formulation | Purified polyclonal antibody supplied in PBS with 0.05% sodium azide. This antibody is purified through a protein A column, followed by peptide affinity purification. |
| Application | |
|---|---|
| WB | 1/1000 |
| IHC | 1/100-1/500 |
| ICC | 1/10-1/50 |
| FCM | 1/10-1/50 |
![]() |
Western blot analysis of lysate from SW480 cell line,using LRP12 Antibody (C-term)(Cat. #P32573).P32573 was diluted at 1:1000 at each lane. A goat anti-rabbit IgG H&L(HRP) at 1:5000 dilution was used as the secondary antibody.Lysate at 35ug per lane. |
![]() |
Confocal immunofluorescent analysis of LRP12 Antibody (C-term)(Cat#P32573) with U-251MG cell followed by Alexa Fluor 488-conjugated goat anti-rabbit lgG (green). DAPI was used to stain the cell nuclear (blue). |
![]() |
LRP12 Antibody (C-term) (Cat. #P32573) flow cytometric analysis of Jurkat cells (right histogram) compared to a negative control cell (left histogram).FITC-conjugated donkey-anti-rabbit secondary antibodies were used for the analysis. |
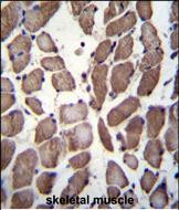
![]() |
LRP12 Antibody (C-term) (Cat. #P32573)immunohistochemistry analysis in formalin fixed and paraffin embedded human skeletal muscle followed by peroxidase conjugation of the secondary antibody and DAB staining.This data demonstrates the use of LRP12 Antibody (C-term) for immunohistochemistry. Clinical relevance has not been evaluated. |
本公司的所有产品仅用于科学研究或者工业应用等非医疗目的,不可用于人类或动物的临床诊断或治疗,非药用,非食用。
暂无评论
本公司的所有产品仅用于科学研究或者工业应用等非医疗目的,不可用于人类或动物的临床诊断或治疗,非药用,非食用。
中文




发表回复