别名:HBM, LR3, OPS, EVR1, EVR4, LRP7, OPPG, BMND1, OPTA1, VBCH2应用:IHC
反应种属:Human, Mouse
规格:50μl/100μl
| Description |
|---|
| This gene encodes a transmembrane low-density lipoprotein receptor that binds and internalizes ligands in the process of receptor-mediated endocytosis. This protein also acts as a co-receptor with Frizzled protein family members for transducing signals by Wnt proteins and was originally cloned on the basis of its association with type 1 diabetes mellitus in humans. This protein plays a key role in skeletal homeostasis and many bone density related diseases are caused by mutations in this gene. Mutations in this gene also cause familial exudative vitreoretinopathy. |
| Specification | |
|---|---|
| Aliases | HBM, LR3, OPS, EVR1, EVR4, LRP7, OPPG, BMND1, OPTA1, VBCH2 |
| Swissprot | O75197 |
| Host/Isotype | Rabbit IgG |
| Storage | Store at 4°C short term. Aliquot and store at -20°C long term. Avoid freeze/thaw cycles. |
| Species Reactivity | Human, Mouse |
| Immunogen | Synthetic peptide of human LRP5 |
| Formulation | pH7.4 PBS, 0.05% NaN3, 40% Glycerol |
| Application | |
|---|---|
| IHC | 1/50-1/200 |
| ELISA | 1/2000-1/10000 |
![]() |
The image is immunohistochemistry of paraffin-embedded Human colon cancer tissue using P04081(LRP5 Antibody) at dilution 1/55. (Original magnification: ×200) |
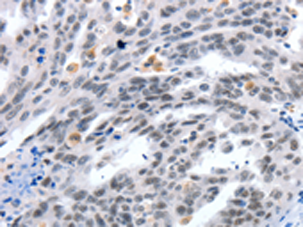
![]() |
The image is immunohistochemistry of paraffin-embedded Human ovarian cancer tissue using P04081(LRP5 Antibody) at dilution 1/55. (Original magnification: ×200) |
本公司的所有产品仅用于科学研究或者工业应用等非医疗目的,不可用于人类或动物的临床诊断或治疗,非药用,非食用。
暂无评论
本公司的所有产品仅用于科学研究或者工业应用等非医疗目的,不可用于人类或动物的临床诊断或治疗,非药用,非食用。
中文


发表回复