别名:LRPB7应用:IHC
反应种属:Human
规格:50μl/100μl
| Description |
|---|
| The leucine-rich (LRR) repeat is a 20-30 amino acid motif that forms a hydrophobic å/∫ horseshoe fold, allowing it to accommodate several leucine residues within a tightly packed core. All LRR repeats contain a variable segment and a highly conserved segment, the latter of which accounts for 11 or 12 residues of the entire LRR motif. The primary function of these motifs is to provide a versatile structural framework to mediate the formation of protein-protein interactions. LRRs are present in a variety of proteins with diverse structure and function, including innate immunity and nervous system development. Several human diseases are associated with mutations in genes encoding LRR-containing proteins. LRRC23 (leucine-rich repeat-containing protein 23), also known as leucine-rich protein B7, is a 343 amino acid protein that contains eight LRR (leucine-rich) repeasts and one LRRCT domain. LRRC23 exists as two alternatively spliced isoforms and is encoded by a gene mapping to chromosome 12. |
| Specification | |
|---|---|
| Aliases | LRPB7 |
| Swissprot | Q53EV4 |
| Host/Isotype | Rabbit IgG |
| Storage | Store at 4°C short term. Aliquot and store at -20°C long term. Avoid freeze/thaw cycles. |
| Species Reactivity | Human |
| Immunogen | Synthetic peptide of human LRRC23 |
| Formulation | pH7.4 PBS, 0.05% NaN3, 40% Glycerol |
| Application | |
|---|---|
| IHC | 1/25-1/100 |
| ELISA | 1/5000-1/10000 |
![]() |
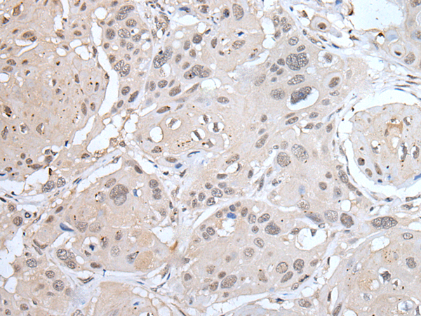
The image is immunohistochemistry of paraffin-embedded Human thyroid cancer tissue using P12777(LRRC23 Antibody) at dilution 1/30. (Original magnification: ×200) |
![]() |
The image is immunohistochemistry of paraffin-embedded Human esophagus cancer tissue using P12777(LRRC23 Antibody) at dilution 1/30. (Original magnification: ×200) |
本公司的所有产品仅用于科学研究或者工业应用等非医疗目的,不可用于人类或动物的临床诊断或治疗,非药用,非食用。
暂无评论
本公司的所有产品仅用于科学研究或者工业应用等非医疗目的,不可用于人类或动物的临床诊断或治疗,非药用,非食用。
中文


发表回复