别名:Leucine-rich repeat transmembrane neuronal protein 1, LRRTM1应用:WB,IHC
反应种属:Human, Mouse
规格:50μl/100μl
| Description |
|---|
| LRRTM1 may play a role during the development of specific forebrain structures by influencing neuronal differentiation and connectivity, with a possible role in intracellular trafficking within axons. |
| Specification | |
|---|---|
| Aliases | Leucine-rich repeat transmembrane neuronal protein 1, LRRTM1 |
| Entrez GeneID | 347730 |
| Swissprot | Q86UE6 |
| WB Predicted band size | 58.6kDa |
| Host/Isotype | Rabbit IgG |
| Storage | Store at 4°C short term. Aliquot and store at -20°C long term. Avoid freeze/thaw cycles. |
| Species Reactivity | Human, Mouse |
| Immunogen | This LRRTM1 antibody is generated from rabbits immunized with a KLH conjugated synthetic peptide between 88-117 amino acids from the Central region of human LRRTM1. |
| Formulation | Purified polyclonal antibody supplied in PBS with 0.05% sodium azide. This antibody is purified through a protein A column, followed by peptide affinity purification. |
| Application | |
|---|---|
| WB | 1/1000 |
| IHC | 1/100-1/500 |
![]() |
Western blot analysis of LRRTM1 Antibody (Center) (Cat. #P30534) in mouse brain tissue lysates (35ug/lane). LRRTM1 (arrow) was detected using the purified Pab. |
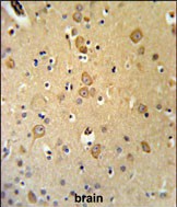
![]() |
LRRTM1 Antibody (Center) (Cat. #P30534) IHC analysis in formalin fixed and paraffin embedded brain tissue followed by peroxidase conjugation of the secondary antibody and DAB staining. This data demonstrates the use of the LRRTM1 Antibody (Center) for immunohistochemistry. Clinical relevance has not been evaluated. |
本公司的所有产品仅用于科学研究或者工业应用等非医疗目的,不可用于人类或动物的临床诊断或治疗,非药用,非食用。
暂无评论
本公司的所有产品仅用于科学研究或者工业应用等非医疗目的,不可用于人类或动物的临床诊断或治疗,非药用,非食用。
中文


发表回复