别名:U6 snRNA-associated Sm-like protein LSm1, Cancer-associated Sm-like, Small nuclear ribonuclear CaSm, LSM1, CASM应用:WB,IHC
反应种属:Human
规格:50μl/100μl
| Description |
|---|
| Sm-like proteins were identified in a variety of organisms based on sequence homology with the Sm protein family. Sm-like proteins contain the Sm sequence motif, which consists of 2 regions separated by a linker of variable length that folds as a loop. The Sm-like proteins are thought to form a stable heteromer present in tri-snRNP particles, which are important for pre-mRNA splicing. |
| Specification | |
|---|---|
| Aliases | U6 snRNA-associated Sm-like protein LSm1, Cancer-associated Sm-like, Small nuclear ribonuclear CaSm, LSM1, CASM |
| Entrez GeneID | 27257 |
| Swissprot | O15116 |
| WB Predicted band size | 15.2kDa |
| Host/Isotype | Rabbit IgG |
| Storage | Store at 4°C short term. Aliquot and store at -20°C long term. Avoid freeze/thaw cycles. |
| Species Reactivity | Human |
| Immunogen | This LSM1 antibody is generated from rabbits immunized with a KLH conjugated synthetic peptide between 103-133 amino acids from the C-terminal region of human LSM1. |
| Formulation | Purified polyclonal antibody supplied in PBS with 0.05% sodium azide. This antibody is prepared by Saturated Ammonium Sulfate (SAS) precipitation followed by dialysis against PBS. |
| Application | |
|---|---|
| WB | 1/1000 |
| IHC | 1/100-1/500 |
![]() |
Western blot analysis of anti-LSM1 Antibody (C-term) (Cat.#P30341) in Hela cell line lysates (35ug/lane). LSM1 (arrow) was detected using the purified Pab. |
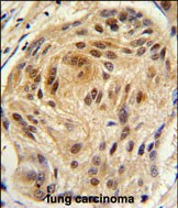
![]() |
Formalin-fixed and paraffin-embedded human lung carcinoma tissue reacted with LSM1 antibody (C-term) (Cat. #P30341), which was peroxidase-conjugated to the secondary antibody, followed by DAB staining. This data demonstrates the use of this antibody for immunohistochemistry; clinical relevance has not been evaluated. |
本公司的所有产品仅用于科学研究或者工业应用等非医疗目的,不可用于人类或动物的临床诊断或治疗,非药用,非食用。
暂无评论
本公司的所有产品仅用于科学研究或者工业应用等非医疗目的,不可用于人类或动物的临床诊断或治疗,非药用,非食用。
中文


发表回复